部分矯正

気になるところだけ改善する「部分矯正」

矯正治療は、歯全体に対して行うものだと思っていませんか?

矯正治療の中には、気になる部分だけに実施する「部分矯正」もあります。例えば1本だけ捻転(ねじれ)している歯や、歯間離開(しかんりかい:すきっ歯)などを改善する場合に行います。

部分矯正は動かす歯の本数が少ないため、お口全体の矯正治療より治療期間を短縮したり費用を抑えたりできるのがメリットです。

部分矯正はこんな方におすすめ

部分矯正は、以下のような方におすすめの治療です。

  • 見た目が気になるところだけをまずは改善したい方
  • 短期間で治療を終えたい方
  • 前歯の並びだけが気になる方
  • 矯正治療の費用を抑えたい方
  • 過去に行った矯正治療の後に、戻ってしまった歯並びを修正したい方

部分矯正のメリット

お口全体(すべての歯)の矯正に比べて、部分矯正には以下のようなメリットがあります。

治療期間が短い

お口全体を対象とした矯正は、2年前後の治療期間を要します。対して部分矯正は、最短で2~3か月、それ以上でも1年以内には治療が終わるケースがほとんどです。

費用負担が少ない

前歯6本に対する部分矯正の場合、約300,000円前後で治療が可能です。

※症例によります

装置が目立ちにくく、違和感や痛みが少ない

部分矯正は矯正する歯やその前後の歯に限定して装置をつけるため、お口全体の矯正よりも装置が目立ちません。さらに、矯正装置が唇や頬の粘膜、舌に当たって生じる違和感・痛みも少なめです。

部分矯正のデメリット

お口全体の矯正に比べて、部分矯正は以下のようなデメリットが生じやすい治療です。

改善される箇所が限定的

一部分の歯並びを整えることはできても、全体的な咬み合わせの改善までは行えません。

トラブルが発生しやすい

上下のあごの骨格的な大きさや位置関係に問題がある場合、無理に部分矯正をすると次のようなトラブルが発生する恐れがあります。

  • うまく咬めない
  • 顎関節が痛む
  • もとの歯並びに戻る「後戻り」がすぐに起きる

症例紹介

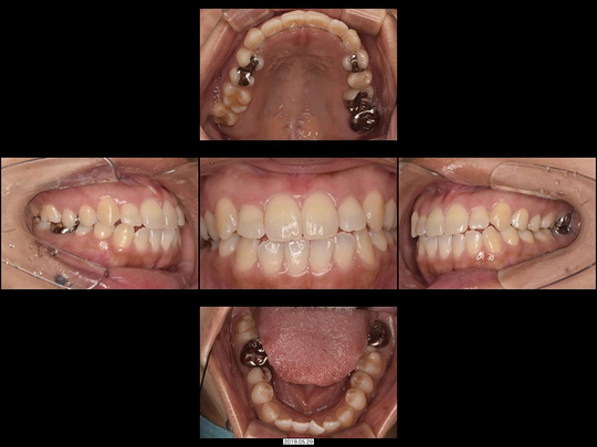
Eさん 30代 女性

矯正前

画像をクリックで拡大

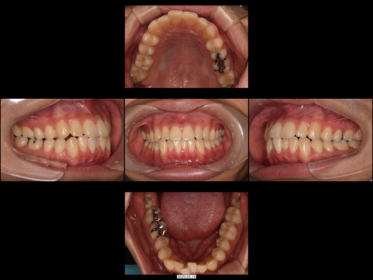
矯正後

画像をクリックで拡大

治療の説明
非抜歯にて、上の前歯だけワイヤー矯正しました。歯が移動できるスペースを確保するためにディスキング(歯の形を整える)しています。
治療の期間・回数
10か月、12回
​費用
470,800円

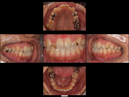
Tさん 20代 男性

矯正前

画像をクリックで拡大

矯正後

画像をクリックで拡大

治療の説明
下前歯だけ、部分的なマウスピース型矯正装置を使った矯正治療をしました。非抜歯にて完了しています。
治療の期間・回数
9か月、12回
​費用
470,800円

ブライダルや就活に合わせた矯正に対応

「歯並びは気になっていたけど、今まで矯正治療に踏み出せなかった…」「でも、結婚式では歯並びを気にせず心から笑いたい!」

そんな方のために、見た目が気になる部位を優先的に治療する「ブライダル矯正プラン」をご用意しています。結婚式までに少しでも歯並びの見た目を改善したいとお考えの方におすすめです。

本当に結婚式に間に合うのか、矯正は2年ほどかかるらしいので今始めても無理かもしれないといった不安や、歯並びを整えてホワイトニングもしたいなどのご要望もあると思います。

当院からの回答として、見た目の改善のみに集中して治療する場合は、半年~1年ほどあれば対応可能です。

スケジュールを考慮した矯正治療

前述の結婚式をはじめ、就職活動といった大切な日に合わせて歯並びや口元を整えたいという方は多くいらっしゃいます。こうしたニーズを一つでも叶えるため、私たちは患者さんのご希望のスケジュールに合わせた矯正治療をご提案しています。

例えば、結婚式の前撮り写真の撮影が半年後に迫っているとしましょう。この場合、優先すべきは正面から見える前歯の重なりの改善です。そしてタイミングを見て、ホワイトニングも実施。全体的な咬み合わせなどは、撮影や挙式が終わった後にじっくりを整えるという方針で治療計画を立てていきます。

就職面接が半年後から何か月間かにわたって予定されている場合は、滑舌に影響が出そうであれば取り外しができるマウスピース型矯正装置で治療します。そして面接が終わってから、通常のワイヤー矯正で仕上げの治療を行うことも可能です。

当院のブライダル矯正プランや就活矯正プランは、大事なイベントの日程に合わせてご提供する矯正治療です。患者さんのニーズを実現させるため、矯正カウンセリング時のコミュニケーションを重要視しています。

院内には矯正治療専門のカウンセラーが所属していますので、歯科医師に直接聞きづらい内容も、どうぞ気軽にご相談ください。

治療名:部分矯正
治療の説明:主に前歯など気になる部分のみに矯正装置をつけて歯を並べる治療法です。
治療の期間・回数:6週間~6か月、8~18回
リスクや副作用:まれに歯の根が短くなる可能性があります。装置装着後、痛みを感じることがあります(歯が動く正常な反応なので心配ありません)。頬の粘膜・唇・舌などに、口内炎ができることがあります。歯周病等で歯ぐきが下がっている方は、歯を動かすことでさらに歯ぐきが下がる可能性があります。重なっていた歯がきれいに並んだことで歯ぐきと両隣の歯との間に三角形の隙間ができる可能性があります。
​費用:396,000~550,000円 ※自費診療となります。

※金額は税込み表記です。

パソコン|モバイル
ページトップに戻る