ボロボロの歯の治療の症例

※自費診療です

症例紹介

Nさん 60代 女性

見た目や咬み合わせなどを全体的に改善する「フルマウス総合治療」にて食べ物がしっかり咬めるようになった症例
 

治療前

画像をクリックで拡大

治療後

画像をクリックで拡大

ご相談内容

「口元の見た目が悪いのが気になる。歯がなくてやわらかい物しか食べられない。しっかり噛めるようになって、主人と一緒に食事をしたり好きな物を食べたりできるようになりたい」とご相談いただきました。また、治療をしたいとの想いから数件の歯科医院に足を運んだそうですが、治療が難しいと断られてしまったとも教えていただきました。

 

 
カウンセリング・診断結果

噛み合わせを確認したところ、上下でまったく噛める場所がなく、残っている上の歯も根が折れていたり、重度歯周病のため抜歯が必要であるだけでなく、上下の歯が接する平面「咬合平面」に乱れも生じており、全体的な総合治療が必要と診断。

 

 
ご提案した治療内容

まずはいきなり抜歯するのではなく、見た目や噛み合わせ、咬合平面を精密な仮歯「プロビジョナル」にて全体的に改善し、上下のあごの正しい位置も確認。それと同時進行で下あごの奥歯6箇所(左右第一小臼歯、第二小臼歯、第一大臼歯)にインプラントを左右3本ずつ埋める手術を行いました。

治療の際はインプラント手術の補助装置である「シミュレーションガイド」を用いて、インプラントを正確な位置と角度で埋入。手術から3ヶ月間に残せる下あご前歯部の中を消毒する「根管治療」をおこない、下あご奥歯の精密なインプラント仮歯(インプラントプロビジョナル)装着時に、下あご前歯も含めた全体的な咬合平面を調整、噛みやすさや見た目も確認。

上あごにはインプラントにマグネットを装着して固定しした、インプラントオーバーデンチャーを仮に作製しました。治療を進める中で、患者さんから「見た目もキレイに治療をしたい」と希望されたため、劣化しにくく自然な白さがあるセラミックの一種「ジルコニア」の被せ物と、特殊圧接技術による外れづらい入れ歯「リプロハイグリップ義歯」にて最終的な修復を行い、治療を終了しました。

 
術後と現在のご様子

ジルコニアを装着した歯は周りとなじみ、自然な仕上がりになりました。噛み合わせも問題なく、上あごもインプラント併用のリプロハイグリップ義歯で食べ物がしっかり噛めるようになっています。患者さんには「見た目もきれいになってうれしい。しっかり噛めるようになって、主人や友達と食事に行くのが楽しみ」と大変ご満足いただきました。現在は、良好な状態を保つため定期的に予防メンテナンスにてご通院いただいています。

 

 

診療種別
自由診療
治療の期間・回数
18か月、55回
​費用
4,304,800円

リスクや副作用:インプラントの手術後に、痛みや腫れ、出血、合併症などを引き起こす可能性があります。噛む感覚がご自身の歯と異なる場合があります。見た目がご自身の歯と異なる場合があります。手術後にメインテナンスを継続しないと、インプラントが抜け落ちる可能性があります。セラミックは、強い力をかけると割れる(欠ける)可能性があります。土台となるご自身の歯を削る必要があります(削る量は材質や個人差によります)。歯の状態によっては神経の治療が必要になる場合があります。治療時に出血を伴う可能性があります。

 

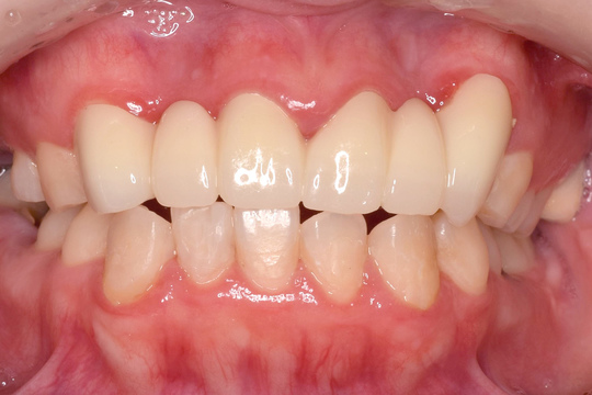
症例紹介

Sさん 60代 女性

「歯医者は怖いが、入れ歯以外の方法で見た目や噛み合わせを治してほしい」静脈内麻酔を使用して不安を取り除き、歯のない部分にインプラント治療を行い、セラミックで見た目と噛み合わせも改善した症例

 

治療前

画像をクリックで拡大

治療後

画像をクリックで拡大

ご相談内容

他のクリニックで入れた銀歯が外れたため治療をお願いしたところ、十分な説明がないまま次々と抜歯され、「次は入れ歯を作ります」と言われてしまった。入れ歯は嫌だがインプラントにも漠然とした恐怖心があるので悩んでいる。友人と食事に出かけた際、自分だけ食べるのに時間がかかって恥ずかしいとご相談いただきました。

 

 
カウンセリング・診断結果

上あご左右の奥歯が4本欠損している状態だけでなく、古い保険の銀歯の被せ物の下には再発むし歯が多数みられる状況でした。CT画像でお口の中を立体的に確認し、あごの骨の量や質は十分あり、インプラント治療が可能と診断。片道1時間ほどかけて来院されるため無理のない範囲で、短期集中の治療計画をご提案しました。

 

 
ご提案した治療内容

インプラント治療に恐怖心をお持ちでしたので、静脈内に抗不安薬などを投与することで、ウトウトしながらリラックスした状態で治療を行うことができる「静脈内鎮静法」を使って、できるだけ痛みのないインプラントの埋め込み手術をおこないました。

インプラント治療の際はインプラント手術の補助装置である「シミュレーションガイド」を用いて、インプラントを正確な位置と角度で4本埋入しています。術後6ヶ月までの間に銀歯の再発むし歯を取り除き、根の中(歯髄内部)をきれいにしてから薬を詰める治療「根管治療」が必要であることを説明しました。

根管治療に使用する薬にはいくつかの選択肢がありますが、今回の場合は保険診療のものでは悪化したり再発したりする可能性があるため、殺菌効果が高く神経の穴をしっかりと封鎖できる自費診療の「MTA」を提案したところ、同意いただきました。

その後インプラントも含めて精密な仮歯「プロビジョナル」にて、見た目や噛み合わせを確認し、最終的にインプラントの被せ物とあわせて根管治療を施した後の歯もすべて、自然な白さで強度もある「ジルコニア」の被せ物を装着して、メタルフリー治療と同時に短期集中フルマウス総合治療を終了しました。

 
術後と現在のご様子

ジルコニアを装着した歯は周りとなじみ、自然な仕上がりになりました。噛み合わせも問題なく、上あごは他院で義歯にされてしまうところをインプラントにしたことで食べ物がしっかり噛めるようになっています。患者さんには「遠くから通うのが大変な時期もあったけど、先生や歯科衛生士さんたちが丁寧に接してくれたおかげで、通院が苦にならなかった。治療後は前とは見違えるほどきれいになったし、よく噛めるだけでなく物が詰まりづらく口臭も気にならなくなった」と大変お喜びいただきました。

現在は、良好な状態を保つため定期的に予防メンテナンスにてご通院いただいています。

 

診療種別
自由診療
治療の期間・回数
12か月、40回
​費用
3,150,400円

リスクや副作用:インプラントの手術後に、痛みや腫れ、出血、合併症などを引き起こす可能性があります。噛む感覚がご自身の歯と異なる場合があります。見た目がご自身の歯と異なる場合があります。手術後にメインテナンスを継続しないと、インプラントが抜け落ちる可能性があります。セラミックは、強い力をかけると割れる(欠ける)可能性があります。土台となるご自身の歯を削る必要があります(削る量は材質や個人差によります)。歯の状態によっては神経の治療が必要になる場合があります。治療時に出血を伴う可能性があります。静脈内鎮静法は、手から点滴をとる必要があります。治療後、まれにふらつくことがあります(当日の車の運転は控えてください)。治療前は食事制限をお願いする場合があります(嘔吐による誤嚥を防ぐため)。呼吸や血圧に影響を及ぼす可能性があります。

 

症例紹介

Yさん 20代女性

治療前

画像をクリックで拡大

治療後

画像をクリックで拡大

歯医者が苦手でずっと放置していたら、前歯がボロボロになってしまった方です。新型コロナウイルス感染症の流行が落ち着いたことを受け、マスクを外したときに人前で笑えないので何とかしてほしいと受診されました。

痛みに対して苦手意識があるため、「3ステップ麻酔法」+「静脈内鎮静法(睡眠麻酔治療)」を行いました。短期間で集中的に治療し、根管治療(歯の根の治療)と同時に仮歯も作製。治療開始から2回目で見た目が改善し、最終的にセラミック冠で修復を施しました。

治療の期間・回数
3か月、12回
費用
778,800円

リスクや副作用:静脈内鎮静法は、手から点滴をとる必要があります。治療後、まれにふらつくことがあります(当日の車の運転は控えてください)。治療前は食事制限をお願いする場合があります(嘔吐による誤嚥を防ぐため)。呼吸や血圧に影響を及ぼす可能性があります。
セラミックは、強い力をかけると割れる(欠ける)可能性があります。土台となるご自身の歯を削る必要があります(削る量は材質や個人差によります)。歯の状態によっては神経の治療が必要になる場合があります。治療時に出血を伴う可能性があります。


Kさん 50代女性

治療前

画像をクリックで拡大

治療後

画像をクリックで拡大

前歯のつめものがとれてしまい、お嬢さまの結婚式までにどうしてもきれいにしてほしいという患者さんです。結婚式までは2か月足らずでしたが、短期集中治療によって、2回目には仮歯で見た目が改善されました。

歯の色が単一でなくグラデーションがかかっており、セラミックで再現しにくい色調でした。そのためデジタル歯冠色調分析器「Shade Eye System」にて対応。さらに歯と歯の間の黒いスペース(ブラックトライアングル)もセラミック治療で改善しました。

治療の期間・回数
1.5か月、4回
費用
246,600円

リスクや副作用:セラミックは、強い力をかけると割れる(欠ける)可能性があります。土台となるご自身の歯を削る必要があります(削る量は材質や個人差によります)。歯の状態によっては神経の治療が必要になる場合があります。治療時に出血を伴う可能性があります。

悩み別の治療法

どのような「お悩み」を抱えていますか?

なかなか歯医者に通院できず、歯がボロボロになってしまった方

歯周病を放置した結果、歯がグラグラして歯ぐきから血や膿が出る方

お使いの入れ歯に「痛い」「噛めない」「外れる」といった不具合がある方

むし歯や歯周病の治療と一緒に、歯並びも改善したい方

歯を失ってしまい、入れ歯やブリッジ治療にあまり前向きでない方

以前に治療した歯の変色や銀歯が気になって、再び歯を白くしたい方

パソコン|モバイル
ページトップに戻る