ガタガタ(叢生・八重歯)

叢生(そうせい)とは

デコボコとした歯並びは叢生(そうせい)と呼ばれており、八重歯も叢生の一種です。

主な要因のひとつは、あごと歯の大きさがアンバランスで、歯がきれいに並ぶだけのスペースが足りない点にあります。その結果、歯がねじれたり斜めに生えたりしてしまうのです。また、乳歯のむし歯も叢生を引き起こす場合があります。

叢生は歯並びが乱れているため歯磨きがしにくく、むし歯や歯周病などになりやすいお口の環境になりがちです。重度の症状では、発音のしにくさや食べ物の咬みにくさを感じる方もいます。

叢生の特徴

歯や歯並びが以下のような状態の方は、叢生であると考えられます。

  • 歯が重なったり、斜めになったりして生えている
  • 歯並びがデコボコしている
  • 犬歯が正常な歯並びよりも上から生えている(八重歯)

症例紹介

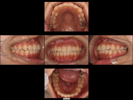
Nさん 20代 女性

矯正開始直後

画像をクリックで拡大

矯正後

画像をクリックで拡大

前歯の重なりが気になるので部分矯正で改善したい、というご希望です。また、カウンセリング時に詳しくお話を伺ったところ「口元の印象もスッキリさせたい」とのことでした。

そこで無理な治療計画となってしまう部分矯正ではなく、抜歯してスペースを確保し、表側のワイヤー矯正装置で全体矯正を行って対応しました。

治療の期間・回数
20か月、24回
​費用
1,007,600円

リスクや副作用:歯とあごのバランスによってはご自身の歯を抜く場合があります。まれに歯の根が短くなる可能性があります。装置装着後、痛みを感じることがあります(歯が動く正常な反応なので心配ありません)。頬の粘膜・唇・舌などに、口内炎ができることがあります。歯周病等で歯ぐきが下がっている方は、歯を動かすことでさらに歯ぐきが下がる可能性があります。重なっていた歯がきれいに並んだことで歯ぐきと両隣の歯との間に三角形の隙間ができる可能性があります。


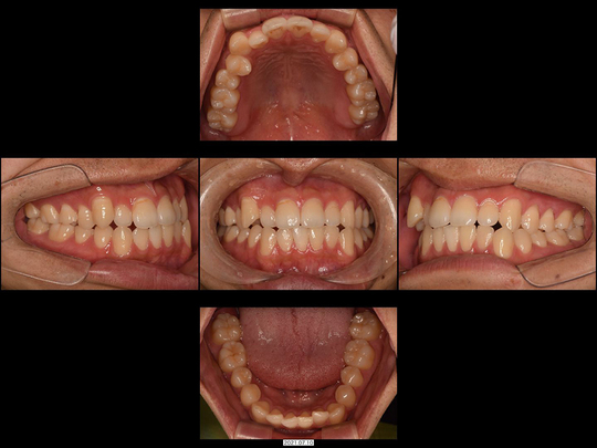
Tさん 10代 女性

矯正前

画像をクリックで拡大

矯正後

画像をクリックで拡大

前歯がガタガタしていて笑う時に気になるというケースです。あごの骨を横方向に拡大し、非抜歯のワイヤー矯正で対応しました。

治療の期間・回数
30か月、31回
​費用
990,000円

リスクや副作用:まれに歯の根が短くなる可能性があります。装置装着後、痛みを感じることがあります(歯が動く正常な反応なので心配ありません)。頬の粘膜・唇・舌などに、口内炎ができることがあります。歯周病等で歯ぐきが下がっている方は、歯を動かすことでさらに歯ぐきが下がる可能性があります。重なっていた歯がきれいに並んだことで歯ぐきと両隣の歯との間に三角形の隙間ができる可能性があります。


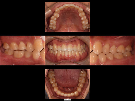
Mさん 20代 男性

矯正前

画像をクリックで拡大

矯正後

画像をクリックで拡大

前歯のガタガタが気になっているものの、抜歯をしない範囲で改善したいというご要望です。

しかし非抜歯ではスペースが不足し、そのままでは前歯が前に傾斜してしまう恐れが考えられました。そこで「IRPストリッピング」とよばれる方法でスペースを確保し、上下部分のワイヤー矯正で対応しました。

治療の期間・回数
16か月、18回
​費用
525,000円

リスクや副作用:まれに歯の根が短くなる可能性があります。装置装着後、痛みを感じることがあります(歯が動く正常な反応なので心配ありません)。頬の粘膜・唇・舌などに、口内炎ができることがあります。歯周病等で歯ぐきが下がっている方は、歯を動かすことでさらに歯ぐきが下がる可能性があります。重なっていた歯がきれいに並んだことで歯ぐきと両隣の歯との間に三角形の隙間ができる可能性があります。

※金額は税込み表記です。

パソコン|モバイル
ページトップに戻る