受け口(反対咬合)

受け口(反対咬合)とは

受け口とは、上の歯よりも下の歯が前に出ている状態の咬み合わせのことです。専門的には「反対咬合(はんたいこうごう)」または「下顎前突(かがくぜんとつ)」と呼ばれる症状です。

主な原因は骨格の問題ですが、内側に傾いて生えた上の前歯、下あごを前に突き出す癖なども原因になります。

下顎前突のデメリットは、機能面において食べ物の咬みにくさや滑舌の悪さ、特にサ行の発音しにくさが挙げられます。さらに審美面にも支障をきたしやすく、下あごを突き出したような見た目にコンプレックスを抱えるケースも珍しくありません。

下顎前突の特徴

下顎前突には以下のような症状が見られます。

  • 下の前歯が上の前歯より前に出ている
  • 滑舌が悪く、特にサ行の発音がしにくい
  • 下あごが発達している

症例紹介

Aさん 開始時6歳 女性

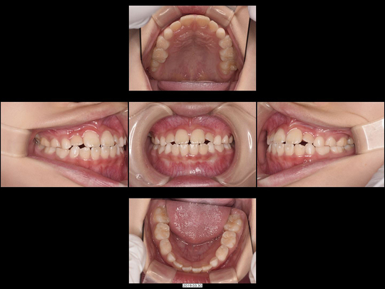
矯正前

歯列矯正用咬合誘導装置(ムーシールド)  開始

画像をクリックで拡大

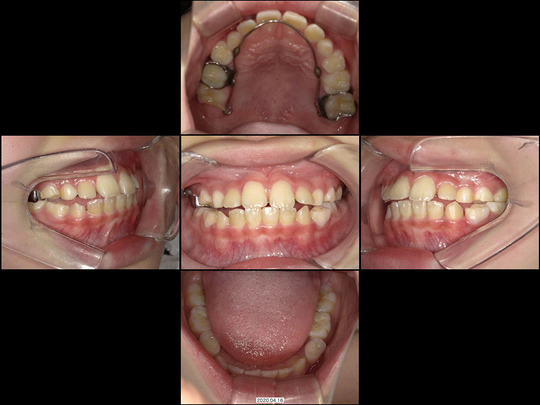
矯正後

歯列矯正用咬合誘導装置(ムーシールド)  終了

画像をクリックで拡大

固定式拡大装置 開始

画像をクリックで拡大

固定式拡大装置 終了

画像をクリックで拡大

治療の説明

将来的にあごの骨を切る外科手術が必要になると診断される状態で困っておられました。
 

精査の結果、上下の前歯が早期接触したため上下あごの位置がズレたことが発端で、反対咬合になっていることが判明。骨格的な下顎前突(かがくぜんとつ)ではありませんでした。スタート時点では1期治療より前の時期であり、ご本人のキャラクターも考慮してマウスピース型咬合誘導装置を用いることとしました。
 

上下の前歯の早期干渉による下あごのズレを改善し、固定式拡大装置にて前後的なあごのズレと、小さい上あごの幅を拡げ、乳歯から永久歯への生え変わりをサポートしました。抜歯することなく、またワイヤーの装置を用いることもせずに治療を終えられたケースです。

治療の期間・回数
36か月、36回
​費用
576,400円
リスクや副作用:
拡大装置

装置に慣れるまでに1週間ほどかかる可能性があります。歯列を広げる過程で少し痛みを感じる可能性があります。装着時に多少しゃべりづらくなる可能性があります(2~3週間ほどで慣れます)。

マウスピース型咬合誘導装置

毎日のトレーニングを怠ると良好な結果が得られません。夜寝るときに装置をお口に入れておく必要があります。生涯の歯並びを保証するものではありません(成長により通常矯正が必要になる場合があります)。症状が改善されない場合は他の矯正治療(床矯正など)に移行する場合もあります。

※金額は税込み表記です。

パソコン|モバイル
ページトップに戻る