マウスピース型矯正装置

ワイヤー矯正に比べて目立たない、取り外せる矯正装置

歯並びを改善したくても、目立ちやすい矯正装置は使いたくないという患者さんは多くいらっしゃいます。そこで私たちは、透明なマウスピースをお口に装着して歯を動かしていく「マウスピース型矯正装置を用いた治療」を採用しています。

従来の金属製の装置よりも目につきにくいため、周囲に気づかれる心配がほとんどない状況で治療できるのがメリットです。当院では、マウスピース型矯正装置「インビザライン」と「アソアアライナー」を取り扱っています。

自分で取り外しも可能

一般的な金属の装置やワイヤーを使う矯正治療の場合、取り外しのできない矯正装置を歯に装着する必要があります。装置がついたままの状態では食事をとりにくい上、歯磨きがしづらいためにむし歯や歯周病にかかりやすいのがデメリットです。

一方、マウスピース型矯正装置の場合は、食事や歯磨きの際にご自身で装置を外せます。いつもと変わらずに食事ができて、歯をしっかり磨いてむし歯も予防できるので、健康に影響が少ない治療法といえるでしょう。大切なイベントやスポーツなどの際も、装置を外して臨めばいつも通りの集中力を発揮しやすいと考えています。

従来の矯正法に比べて目立ちにくく、取り外しが可能なマウスピース型矯正装置なら、「治療を受けたいけれど矯正装置が嫌だった」という方も気楽に治療にトライいただけるのではないでしょうか。

ワイヤー矯正に比べて少ない通院回数で矯正治療が完了

矯正治療に対して「治療期間が長い」「通院回数が多い」といった印象をお持ちの方はいらっしゃいますか?そのようにお考えであれば、特にお仕事などで毎日忙しい方は、通院の手間がネックとなってなかなか矯正治療に踏み出せないでいることと思います。

確かに、歯にワイヤーを装着する矯正は治療完了までに2〜3年かかります。もちろん正確な期間は患者さんの歯の状態によって異なりますが、それでも決して短いとはいえません。

治療中の通院頻度は、およそ3〜4週間ごと1度です。矯正装置をつけている間は、歯の動き方や動く速度に合わせて装置を調整したり、装置に使用しているゴム部分を交換したりするため、定期的な通院が必要なのです。

その点、当院が行うマウスピース型矯正装置を使った治療は、ワイヤー矯正よりも少ない通院回数で歯並びを整えられます。「装置を1日20時間以上使用する」という条件をしっかり守っていただければ、2~3か月ほど来院間隔をあけることも可能です。お仕事や学校が忙しい方、遠方から通院される方なども、治療に取り組んでいただきやすいのではないでしょうか。

※通院頻度・回数はお口の状態によって変わる場合があります。

ワイヤー矯正に比べて痛みや違和感が少ない

マウスピース型矯正装置を使った治療は、ワイヤー矯正と比べて痛みが少ない点もメリットのひとつです。

一般的なワイヤー矯正よりも歯を動かす速度がゆっくりなため、痛みを軽減できます。マウスピースひとつで動く歯の移動量は、わずか0.25mm。「治療の痛みで食事ができない」というワイヤー矯正でありがちなトラブルはほとんど発生しません。

またマウスピースは薄く、ワイヤー矯正の装置と比べて口の中の違和感が少ないのも特徴です。舌や頬に装置が擦れることによる口内炎・痛みを生じるリスクは低いといえます。

治療中の痛みが心配な方にも、マウスピース型矯正装置を用いた治療はおすすめです。

矯正期間中のむし歯や歯周病リスクを回避できる

ワイヤー矯正中は、ブラケットと呼ばれる装置の周りに汚れが溜まりやすく、むし歯や歯周病ができやすいお口の環境になりがちです。

その反面、マウスピース型矯正装置はご自身で毎日取り外せて、歯をしっかり磨けます。マウスピースも外すたびに洗浄し、清潔な状態を保つことで、むし歯・歯周病リスクのさらなる低減が可能です。

矯正治療中にホワイトニングも可能

装置を取り外せない矯正治療は、歯の表面につけた装置が邪魔になってホワイトニングの施術はできません。しかしマウスピース型矯正装置による治療なら、歯科医院で行うオフィスホワイトニングや、ご自宅で手軽にできるホームホワイトニングが可能です。

当院でも、マウスピース型矯正装置による治療と並行して行うホワイトニングをご提供しています。

矯正しながらホワイトニングもできるので、「歯並びの改善」と同時に「白く美しい歯」をめざせます。歯並びを整えながら歯を白くしたい方、結婚式などのイベントを控えている方、急いで歯を白く美しくしたい方はぜひ気軽にご相談ください。

症例紹介

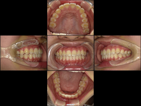
Mさん 10代 女性

矯正前

画像をクリックで拡大

矯正後

画像をクリックで拡大

治療の説明
マウスピース型矯正装置を使った矯正治療にて全体矯正しました。抜歯することなく治療を終えています。
治療の期間・回数
1年8か月、12回
​費用
877,800円

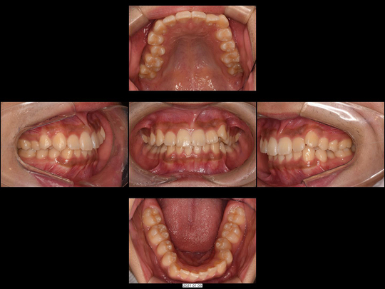
Mさん 20代 男性

矯正前

画像をクリックで拡大

矯正後

画像をクリックで拡大

治療の説明
マウスピース型矯正装置を使った矯正治療にて、下あごのみ治療しました。歯は抜いておりません。
治療の期間・回数
10か月、8回
​費用
563,200円

治療名:マウスピース型矯正装置(インビザライン)
治療の説明:透明なマウスピース型の装置で行う矯正治療です。
治療の期間・回数:8か月~2年、6~15回
(症例によっては表側矯正より早いケースもあり)
リスクや副作用:歯磨き等のセルフケアを怠るとむし歯や歯周病のリスクが高くなります。装着時間を守らないと計画通りに歯が動かない、治療期間が延びる場合があります。矯正治療が完了した後は後戻りを防ぐために保定装置を装着します。保定装置を正しく使用しないと再度矯正治療が必要になる可能性があります。歯と顎のバランスによってはご自身の歯を削る場合があります(削る量は個人差があります)。まれに歯の根が短くなる可能性があります。装置装着後、痛みを感じることがあります(歯が動く正常な反応なので心配ありません)。頬の粘膜・唇・舌などに、口内炎ができることがあります。歯周病等で歯ぐきが下がっている方は、歯を動かすことでさらに歯ぐきが下がる可能性があります。重なっていた歯がきれいに並んだことで歯ぐきと両隣の歯との間に三角形の隙間ができる可能性があります。

​費用:396,000~880,000円
注意事項:
【医薬品医療機器等法(薬機法)において現在未承認の医療機器を用いた治療について】
当院では、マウスピース型カスタムメイド矯正装置(製品名:インビザライン)による矯正治療をご提供しております。矯正治療を受ける際には、以下の点をご了承ください。
●未承認医療機器の使用
マウスピース型カスタムメイド矯正装置の材料は厚生労働省の認可を得たものですが、当院で使用しているインビザラインは完成物薬機法対象外の矯正装置です。医薬品医療機器等法(薬機法)の承認を得ておりませんので、医薬品副作用被害救済制度の対象外となる場合があります。
●入手経路
マウスピース型矯正システム「インビザライン」は米国のアライン・テクノロジー社の製品です。当院はインビザライン・ジャパン株式会社を通じて利用・入手しております。
●国内の類似する承認医療機器の有無
当院が使用するマウスピース型カスタムメイド矯正装置以外に、複数のシステムが開発されています。また、その中には日本で承認を得ている矯正装置も存在します。
●諸外国における安全性等に係る情報
インビザラインは、全世界で1000万人以上(※)の症例数を持っています。1998年に米国食品医薬品局(FDA)の承認を得ており、現在まででインビザライン固有の重篤な副作用の報告はありません。
※2023年現在 ※自費診療となります。

※金額は税込み表記です。

パソコン|モバイル
ページトップに戻る