子どもの矯正装置

拡大装置による、子どもの成長を利用した矯正

子どもの矯正治療(1期治療)では、症例に応じて「拡大装置」を使用します。拡大装置を使用することで、子どもの成長を利用した歯並びの改善が可能になるからです。

この治療のポイントは、成長期のお子さんに、より適切なタイミングで行うこと。主に以下のような歯並びの場合にご提案しています。

  • 出っ歯
  • 受け口
  • 上下のあごのずれがある
  • デコボコの歯並び

拡大装置はワイヤー矯正と違って、1本1本の歯に対する負荷が小さく、痛みを感じにくい傾向があります。また、歯の表面に硬い装置をたくさんつける必要はないため、粘膜が傷つく心配もありません。お子さんにとってストレスが少ない矯正方法です。ただし、使用できる症例は限られていますので、まずはご相談ください。

拡大装置には、以下の2種類があります。

固定式「急速拡大装置」

固定式「急速拡大装置」

固定式「急速拡大装置」は、自分では取り外しできない固定式の拡大装置です。この装置で上あご全体を左右に拡げ、歯がきれいに並ぶためのスペースを確保します。

上あごの骨は左右の骨から形成され、「正中口蓋縫合(せいちゅうこうがいほうごう)」というつなぎ目でジョイントされています。成長期の子どもは、ここのつなぎ目がまだ十分にくっついていません。そのため拡大装置を使えば、上あごの骨を拡げることが可能なのです。

固定式「急速拡大装置」のメリットとしては、抜歯をしなくても歯並びをきれいにできる、鼻腔(びくう:空気の通り道)が広がり鼻呼吸がしやすくなるなどが挙げられます。

取り外し式「緩徐拡大装置」

取り外し式「緩徐拡大装置」

取り外し式「緩徐拡大装置(かんじょかくだいそうち)」は、その名の通り自分で取り外しができる拡大装置です。

骨の幅の範囲内で歯をゆっくりと傾斜移動させるもので、主に一時的に歯を並べるスペースをつくるために使用します。装置を外してしっかり歯磨きができ、装置自体も衛生的に保ちやすいのが特徴です。

悪い癖はマウスピース型咬合誘導装置で改善

以下のような症状・条件のお子さんに対し、私たちは「マウスピース型咬合誘導装置」をおすすめしています。

  • 舌の動きが正しくない
  • 口呼吸が原因で歯並びが悪い
  • 上下のあごがずれている
  • 固定式矯正装置が使えない年齢

「マウスピース型咬合誘導装置」は歯並びや咬み合わせだけでなく、お口周りの筋機能も同時に改善が可能です。例えば、歯並びを悪くさせる癖のひとつである「お口ポカン」の改善にも効果が期待できます。また、歯並びに悪影響を及ぼす口呼吸をやめ、鼻呼吸へと導いてもあげられる装置です。

加えて当院では、正しい発音・飲み込みができるようにお口の中の筋肉のトレーニングも一緒に行っています。使用する装置はマウスピース型ですので、お口の中に入れてもほとんど痛みはありません。お家にいる時間や就寝時にのみ装着すれば良いため、お子さんも治療に前向きに取り組みやすいでしょう。

治療で整えた歯並びが元に戻る「後戻り」が起きないように、マウスピース型咬合誘導装置を使用した後に、拡大装置を併用するケースもよくあります。さらに、お子さんの症状やキャラクターを踏まえ、部分的なマルチブラケット装置やリンガルアーチと呼ばれる固定式装置を使う場合もあります。

症例紹介

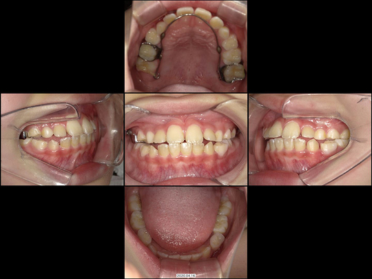
Wさん 開始時8歳 女性

矯正前

画像をクリックで拡大

矯正後

画像をクリックで拡大

治療の説明

「抜歯しないと治療できない」と言われるようなケースです。スタート時点は1期治療前半が適した年齢でしたが、叢生(そうせい:ガタガタ)が強く、上下のあごのズレも見られておりました。

精査の結果、実年齢と比べてあごの骨年齢の成長が遅いことから、通常通りの固定式拡大装置を用いて非抜歯にて対応。ワイヤー矯正で上下の前歯の角度を調整し、上下のあごも正しい位置に誘導しました。

治療の期間・回数
30か月、30回
​費用
620,400円

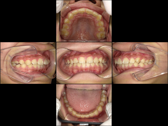
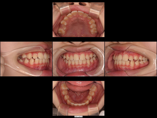
Aさん 開始時6歳 女性

矯正前

歯列矯正用咬合誘導装置(ムーシールド)  開始時

画像をクリックで拡大

矯正後

歯列矯正用咬合誘導装置(ムーシールド)  終了

画像をクリックで拡大

固定式拡大装置 開始時

画像をクリックで拡大

固定式拡大装置 終了

画像をクリックで拡大

治療の説明

将来的にあごの骨を切る外科手術が必要になる、と診断され困っておられました。

精査の結果、上下の前歯が早期接触したため上下あごの位置がズレたことが発端で、反対咬合になっていることが判明。骨格的な下顎前突(かがくぜんとつ)ではありませんでした。当院での治療スタート時点では1期治療より前の時期であり、ご本人のキャラクターも考慮してマウスピース型咬合誘導装置を用いることとしました。

上下前歯の早期干渉による下あごのズレを改善し、固定式拡大装置にて前後的なあごのズレと、小さい上あごの幅を拡げ、乳歯から永久歯への生え変わりをサポートしました。抜歯することなく、またワイヤーを用いることもせずに治療を終えられたケースです。

治療の期間・回数
36か月、36回
​費用
576,400円

治療名:マウスピース型咬合誘導装置
治療の説明:マウスピース型の装置を口の中に入れて、口の周りの筋肉の訓練をする矯正方法です。間違った舌の位置や口呼吸を改善することにより、正常なあごの発達や歯並びへと導きます。
治療の期間・回数:8か月~2年、10~24回
リスクや副作用:毎日のトレーニングを怠ると良好な結果が得られません。夜寝るときに装置をお口に入れておく必要があります。生涯の歯並びを保証するものではありません(成長により通常矯正が必要になる場合があります)。症状が改善されない場合は他の矯正治療(床矯正など)に移行する場合もあります。
​費用:88,000~110,000円 ※自費診療となります。

治療名:子どもの矯正(小児矯正)1期治療
治療の説明:骨の成長期を利用し、あごの骨のバランスや大きさなど骨格を整える治療です。拡大床(着脱式)、急速拡大装置(固定式)、顎外装置などを使用した治療などがあります。一人ひとりのお子さんに合った治療方法をご提案します。
治療の期間・回数:1年~2年、12~25回
リスクや副作用:患者さま自身で装置を装着して矯正する場合は、装着を怠ると良好な結果が得られません。装置装着後、痛みを感じることがあります(歯が動く正常な反応なので心配ありません)。頬の粘膜・唇・舌などに、口内炎ができることがあります。まれに歯の根が短くなる可能性があります。生涯の歯並びを保証するものではありません。
​費用:396,000~550,000円 ※自費診療となります。

※金額は税込み表記です。

パソコン|モバイル
ページトップに戻る