おとなの矯正

矯正に年齢制限はあるの?

矯正治療は決して子どもだけのものではなく、当院では10代後半から70代まで幅広い年代の患者さんが治療を受けています。矯正治療に年齢制限はなく、おとなになってからでもおすすめです。

ただし、おとなの場合は歯の動きが子どもよりもややゆっくりなため、子どもと比較して治療期間が長くなる傾向にあるのは否めません。それでも平均すれば2年ほどで、このくらいで治療を終えられるのがより適切だと当院は考えています。

おとなの矯正治療のメリットは、子どもの頃からの歯並びのコンプレックスを解消できることです。さらに「歯の隙間にフロスや歯ブラシが届かない」などの不具合も改善され、むし歯や歯周病の予防にもつながります。歯並びの見た目が改善されるだけでなく、ご自身の歯も健康的に長持ちさせられるでしょう。

ライフプランに対応した治療を提案

私たちは、患者さんのライフプランに対応した治療のご提案に努めています。

具体的には進学、就職活動、結婚式など、人生における一大イベントの時期までに治療が終わるように逆算して、治療開始のタイミングや矯正装置を決定します。

矯正治療以外の歯のお悩みもお任せください

「できればホワイトニングもしたい」「古くなって変色した前歯のかぶせ物もやりなおしたい」など、矯正以外のご要望をお持ちの方もいらっしゃるでしょう。

そのような場合でもめざしたいイベントに合わせて可能な限り対応いたします。気軽にご相談ください。

矯正中に歯の健康管理も行える総合歯科医院

おとなの矯正治療の場合、人によって矯正前のお口の中の環境はかなり異なります。よく見受けられるのは以下のようなケースです。

  • むし歯がたくさんある
  • 矯正治療の妨げになる古いかぶせ物がある
  • 歯周病によって歯を支える土台の骨が弱っている
  • 症状はないが、歯の根の先に病変がある

上記のような症状がある患者さんは、矯正専門の歯医者では残念ながら対応できません。「紹介するので他院で治療してきてください」と断られ、そこへ行ったら「この治療はできるけれど、ほかの治療はさらに別の歯医者でお願いします」と言われる始末。次々とたらい回しにされることも実際にあるのです。こうなってしまうと、治療期間が大幅に伸びる可能性もでてきます。

その点、当院はむし歯や歯周病の治療ができる総合的な歯医者ですので、矯正の前に院内でお口の環境を整えられます。治療中もむし歯・歯周病予防のため、矯正と並行してクリーニングやむし歯の有無のチェックが可能です。歯の健康にも留意しながら、効率良く治療を進めてまいります。

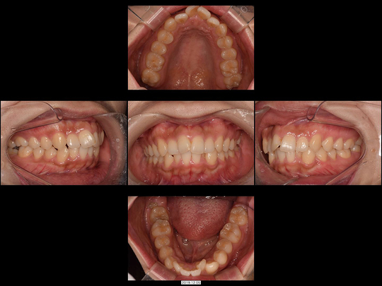
症例紹介

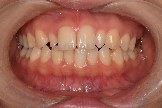
Oさん 20代 女性

矯正前

画像をクリックで拡大

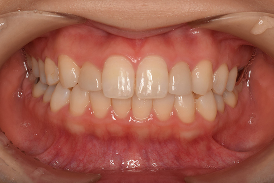
矯正後

画像をクリックで拡大

治療の説明

「歯並びだけでなく口元もスッキリさせたい」とのご希望でした。

上下左右4本を抜歯してスペースを確保し、表側に装着するワイヤーを用いて全体矯正にて対応しました。治療期間中にブライダルがあったのですが、通常よりも目立ちにくいワイヤーを使用したため、見た目の違和感なくお過ごしになられたようです。

治療の期間・回数
20か月、22回
​費用
1,089,000円

Nさん 20代 女性

矯正前

画像をクリックで拡大

矯正後

画像をクリックで拡大

治療の説明

上あご2本が先天性矮小歯(わいしょうし)と叢生(そうせい)、という症例です。お口全体のワイヤー矯正とセラミック治療のコンビネーションで治療を行いました。

矯正終了後からセラミック治療までの間に結婚式のご予定があったため、「プロビジョナルレストレーション」とよばれる自費の仮歯にて対応しました。

治療の期間・回数
24か月、30回
​費用
1,151,700円

治療名:矯正治療
治療の説明:歯並びと咬み合わせの改善を目的に行う歯科治療です。歯の表側に矯正装置をつけたり、マウスピース型矯正装置を使用して、歯やあごの骨に力をかけながらゆっくり動かしていきます。
治療の期間・回数:10か月~2年、12~25回
リスクや副作用:歯とあごのバランスによってはご自身の歯を抜く場合があります。まれに歯の根が短くなる可能性があります。装置装着後、痛みを感じることがあります(歯が動く正常な反応なので心配ありません)。頬の粘膜・唇・舌などに、口内炎ができることがあります。歯周病等で歯ぐきが下がっている方は、歯を動かすことでさらに歯ぐきが下がる可能性があります。重なっていた歯がきれいに並んだことで歯ぐきと両隣の歯との間に三角形の隙間ができる可能性があります。
​費用:396,000~1,200,000円 ※自費診療となります。

※金額は税込み表記です。

パソコン|モバイル
ページトップに戻る