開咬(オープンバイト)・過蓋咬合

開咬(かいこう)とは

奥歯は咬み合っているものの、前歯が咬み合っていない状態を「開咬(かいこう)」と呼びます。開咬は先天的な症状よりも、長期間の指しゃぶりや舌の悪い癖、口呼吸といった後天的な要素が理由で生じるケースが少なからず存在します。

開咬の方は、前歯で食べ物を一口大に咬み切ることが困難です。横の歯や奥歯に大きな負担がかかってしまう咬み合わせでもあり、あごの関節への悪影響も懸念されます。また、口が閉じにくいため口呼吸につながりやすく、ドライマウスやむし歯の要因となり得ます。

開咬の特徴

以下は開咬の代表的な症状です。

  • 前歯が咬み合わず、隙間ができる 
  • 前歯で物を咬み切りにくい
  • 唇を閉じると、あごにシワができる

過蓋咬合とは

咬み合わせた際に、上の前歯が下の前歯に覆いかぶさってしまう状態を「過蓋咬合(かがいこうごう)」といいます。

骨格など先天的な要因で発症する場合もありますが、口呼吸や指しゃぶり、舌の悪い癖といった後天的な要因が歯並びに悪影響を及ぼしているケースも考えられます。

正しい歯並びならば、上下のあごを咬み合わせた時に上の前歯が下の前歯を覆う割合は、1/4から1/3程度です。しかし過蓋咬合の方は、下の前歯がほとんど隠れてしまいます。

このように咬み合わせが深すぎると、下あごの前歯で上あごの内側の歯ぐきを傷つけ、炎症を引き起こす可能性があります。また、歯を支えている骨が溶ける「骨吸収(こつきゅうしゅう)」が起きてしまうことも。さらに、あごに負担がかかり顎関節症のリスクが高まる可能性もあります。

過蓋咬合の特徴

以下の症状が見られる方は、過蓋咬合が疑われます。

  • 咬み合わせたとき、下の前歯がほとんど見えない
  • 被せ物やブリッジ、入れ歯などが壊れやすい
  • 咬んだ時に、上前歯の裏側の歯ぐきが痛い

症例紹介

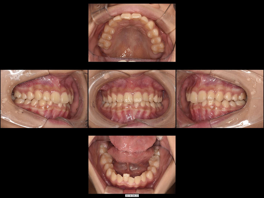
Wさん 10代 女性

矯正前

画像をクリックで拡大

矯正後

画像をクリックで拡大

あごをどんなに動かしても前歯で咬めない、というケースです。

将来的に奥歯に負担がかかりやすい咬み合わせであるため、矯正治療の対象ではあったものの、まずは著しい舌の悪習癖を改善する必要がありました。「タングガード」とよばれる舌を抑える柵を併用し、非抜歯にてマルチブラケット装置を使用して対応しました。

治療の期間・回数
20か月、24回
​費用
720,000円

リスクや副作用:まれに歯の根が短くなる可能性があります。装置装着後、痛みを感じることがあります(歯が動く正常な反応なので心配ありません)。頬の粘膜・唇・舌などに、口内炎ができることがあります。歯周病等で歯ぐきが下がっている方は、歯を動かすことでさらに歯ぐきが下がる可能性があります。重なっていた歯がきれいに並んだことで歯ぐきと両隣の歯との間に三角形の隙間ができる可能性があります。


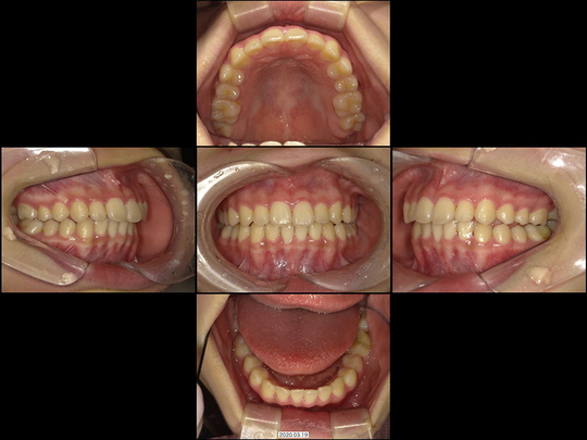
Wさん 10代 女性

矯正前

画像をクリックで拡大

矯正後

画像をクリックで拡大

下の前歯がガタガタしていて、上の前歯の裏側に当たって痛い、咬みづらいというケースです。

奥歯の高さを高くして少し口が開いたような状態にして咬み合わせを作ると同時に、前歯を歯ぐき方向に垂直に押し込みながら傾斜移動させる治療計画を立案しました。マウスピース矯正では咬むことで奥歯に沈む力がかかってしまい奥歯の高さを高くすることが難しいため、ワイヤー矯正を選択しています。

治療の期間・回数
16か月、20回
​費用
660,000円

リスクや副作用:歯とあごのバランスによってはご自身の歯を抜く場合があります。まれに歯の根が短くなる可能性があります。装置装着後、痛みを感じることがあります(歯が動く正常な反応なので心配ありません)。頬の粘膜・唇・舌などに、口内炎ができることがあります。歯周病等で歯ぐきが下がっている方は、歯を動かすことでさらに歯ぐきが下がる可能性があります。重なっていた歯がきれいに並んだことで歯ぐきと両隣の歯との間に三角形の隙間ができる可能性があります。

※金額は税込み表記です。

パソコン|モバイル
ページトップに戻る