子どもの矯正開始時期

おとなになってからはできない矯正があることを知っていますか?

お子さんのあごが成長するタイミングに合わせて矯正を始めると、その後の治療がより良い形で進みます。

というのも、成長期に行う治療ならあごの成長を促進・抑制できるため、永久歯が生えるスペースをつくれます。すると歯を抜かずに矯正治療をできる可能性が高まり、最終的に自然で美しいバランスのとれた顔つきになりやすいのです。

あごの骨の成長を利用する治療は、身体の成長が止まったおとなになってからでは行えません。ぜひ子どものうちに矯正治療を開始するのが望ましいと考えています。

子どもの矯正って、すぐにスタートしなきゃいけない?

子どもの矯正治療は、2つの治療時期に分けられます。

まず、5歳ごろから小学校高学年くらいまでの、乳歯も永久歯も生えている時期に行われる「1期治療」。そして次に、中学生や高校生になり、すべての歯が永久歯に生え変わってから行われる「2期治療」です。

治療の開始は、いつでもいいとは限りません。しっかり歯やあごの骨の状態を検査して、これらの時期の組み合わせパターンの中で、より効果的な時期からスタートするのが重要です。

矯正期間は短いほうがよい

歯医者の中には「子どもの矯正はできるだけ早くに始めたほうが良い」と考える人も多くいます。しかし私たちはそれ以上に、「できるだけ短期間で終わる」ほうが重要だと考えています。

そのため当院では、早期から治療をスタートすることよりも「戦略的な経過観察」を重視。歯並び、お口の状況、家庭環境やお子さんの性格も加味して、ベストな効果が期待できる時期に介入し、なるべく最短ルートできれいな歯並びをめざします。

子どもの矯正治療のスタート時期は、下記の4つです。

  • 1
    1期治療前(乳歯だけの時期。5歳くらい)
  • 2
    1期治療前期(乳歯が永久歯に抜け変わり始める頃。6~8歳)
  • 3
    1期治療後期(乳歯がほぼ永久歯に抜け変わる頃。9~10歳)
  • 4
    2期治療後期(すべての乳歯が永久歯に抜け変わる頃。11~13歳)

大切なのは、スタート時期を見極める診断力

治療計画の立案には「診断」が非常に大切です。

前述した4パターンの子どもの矯正治療のスタート時期のうち、どの時期から始めてどの時期まで続けるのか。そして治療中は、何種類の装置をどの順番で使えば最も効率的に歯並びがきれいに整うのか。

詳しい検査を行って歯並びの状態をしっかり診断し、これらの計画を考えます。

手根骨で骨年齢を分析

指先から手首付近には「手根骨(しゅこんこつ)」と呼ばれる骨があります。

当院では矯正治療の開始前に、お子さんの手根骨のレントゲン写真を撮影。その写真と解析ソフトを使用して、何歳相当のあごの骨なのか「骨年齢」を割り出します。そして割り出された「骨年齢」と、「歴年齢」「歯並び」を比較すれば、お子さんの成長の度合いを判定できるのです。

この結果を基にすることで、より効果的な治療計画の立案に役立てています。

症例紹介

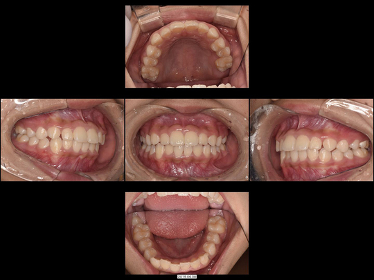
Mさん 開始時9歳 女性

矯正前

画像をクリックで拡大

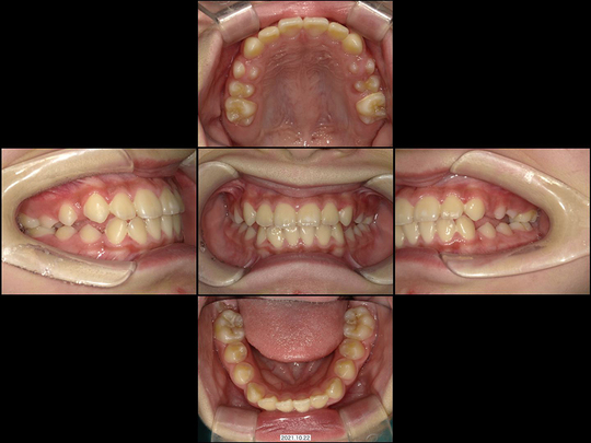
矯正後

画像をクリックで拡大

治療の説明

上下の前歯がガタガタで、中学生になってから抜歯するしかない。それまでは様子を見ましょうと言われたケースです。当院での治療スタート時が1期治療後半の時期であり、一般的には対応は困難かと思われる状態でした。

ところが精査の上、あごの骨年齢的にまだ拡大可能であることが判明。ワイヤー矯正なし、通常通りの固定式拡大装置の非抜歯矯正で対応しました。

治療の期間・回数
36か月、36回
​費用
576,400円

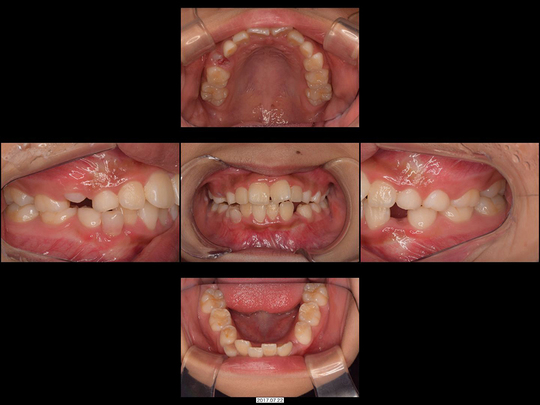
Sさん 開始時8歳 女性

矯正前

画像をクリックで拡大

矯正後

画像をクリックで拡大

治療の説明

上下の前歯がガタガタでお悩みのお子さんです。

スタート時は1期治療前半の時期で、精査の結果、あごの骨年齢も実年齢と変わらないことが分かりました。そのためワイヤー矯正なし、通常通り固定式拡大装置を用いた非抜歯矯正で対応しました。

治療の期間・回数
36か月、36回
​費用
576,400円

治療名:子どもの矯正(小児矯正)1期治療
治療の説明:骨の成長期を利用し、あごの骨のバランスや大きさなど骨格を整える治療です。拡大床(着脱式)、急速拡大装置(固定式)、顎外装置などを使用した治療などがあります。一人ひとりのお子さんに合った治療方法をご提案します。
治療の期間・回数:1年~2年、12~25回
リスクや副作用:患者さま自身で装置を装着して矯正する場合は、装着を怠ると良好な結果が得られません。装置装着後、痛みを感じることがあります(歯が動く正常な反応なので心配ありません)。頬の粘膜・唇・舌などに、口内炎ができることがあります。まれに歯の根が短くなる可能性があります。生涯の歯並びを保証するものではありません。
​費用:396,000~550,000円 ※自費診療となります。

治療名:子どもの矯正(小児矯正)2期治療
治療の説明:永久歯が生えそろった後、歯の位置を整える治療です。ワイヤーを使った装置やマウスピース型の装置を使用した治療などがあります。
治療の期間・回数:1年~2年、12~25回
リスクや副作用:歯と顎のバランスによってはご自身の歯を抜く場合があります。まれに歯の根が短くなる可能性があります。装置装着後、痛みを感じることがあります(歯が動く正常な反応なので心配ありません)。頬の粘膜・唇・舌などに、口内炎ができることがあります。歯周病等で歯ぐきが下がっている方は、歯を動かすことでさらに歯ぐきが下がる可能性があります。重なっていた歯がきれいに並んだことで歯ぐきと両隣の歯との間に三角形の隙間ができる可能性があります。
​費用:550,000~770,000円 ※自費診療となります。

※金額は税込み表記です。

パソコン|モバイル
ページトップに戻る