口ゴボ(上下顎前突)

口ゴボ(上下顎前突)とは

口ゴボとは上下の歯が前に出ている歯並びのことで、専門的な用語では「上下顎前突(じょうかがくぜんとつ)」といいます。代表的な原因としては、上下のあごのバランスの悪さ、歯の大きさ、遺伝、舌の癖などが挙げられます。

正面から見ると一見歯並びが整っているように見えることも多いですが、口ゴボの場合は横から見ると前歯が突出しています。そのため鏡に映った自分を見る分には歯並びの悪さを実感しにくく、矯正治療を受けるべきか悩まれる方も少なくありません。とはいえ、写真映りなどから見た目のコンプレックスを抱きやすいのも事実です。

また、口ゴボには見た目の問題のほかにも食べ物の咬みにくさ、発音のしにくさ、口が閉じにくいなどのデメリットが存在します。口を閉じにくいと口呼吸になりがちで、そこからドライマウスやむし歯、歯周病のリスクが高まるケースも多いため、お口の健康を考えると放置は避けたいところです。

上下顎前突の特徴

口ゴボといわれる「上下顎前突」の歯・歯並びの特徴は以下の通りです。

  • 口が閉じにくい
  • 下あごにしわができやすい
  • 気づくと口が開いている

症例紹介

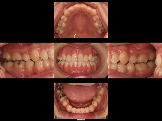
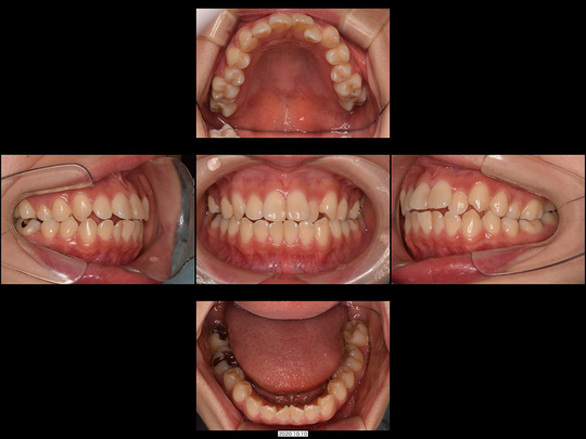
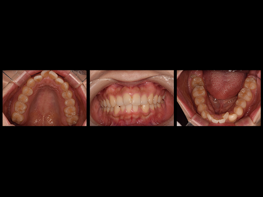
Sさん 20代 女性

矯正前

画像をクリックで拡大

矯正後

画像をクリックで拡大

治療の説明

上下の前歯がデコボコしているのが気になる、しっかり咬めない、特に前歯で物が咬み切れないというケースです。
 

上下の4本を抜歯して後ろに引っ込めるスペース確保し、ワイヤー全体矯正にて対応しました。

治療の期間・回数
20か月、24回
​費用
1,089,000円

リスクや副作用:歯とあごのバランスによってはご自身の歯を抜く場合があります。まれに歯の根が短くなる可能性があります。装置装着後、痛みを感じることがあります(歯が動く正常な反応なので心配ありません)。頬の粘膜・唇・舌などに、口内炎ができることがあります。歯周病等で歯ぐきが下がっている方は、歯を動かすことでさらに歯ぐきが下がる可能性があります。重なっていた歯がきれいに並んだことで歯ぐきと両隣の歯との間に三角形の隙間ができる可能性があります。


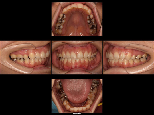
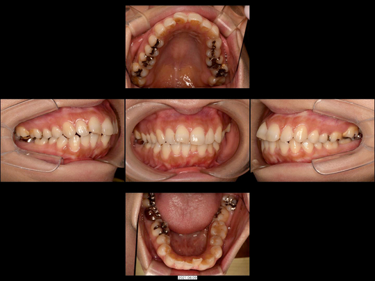
Kさん 40代 女性

矯正前

画像をクリックで拡大

矯正後

画像をクリックで拡大

治療の説明

口が閉じづらく、写真で見たときに歯が出でいるのがコンプレックスで悩んでおられました。
前歯で物が咬み切れないだけでなく、口元の雰囲気もスッキリさせたいというご希望でした。

前歯の後方移動量が多いため、上下4本を抜歯し、矯正用アンカースクリュー併用のワイヤー全体矯正にて口ゴボの治療をしました。

治療の期間・回数
20か月、24回
​費用
1,299,000円

リスクや副作用:歯とあごのバランスによってはご自身の歯を抜く場合があります。まれに歯の根が短くなる可能性があります。装置装着後、痛みを感じることがあります(歯が動く正常な反応なので心配ありません)。頬の粘膜・唇・舌などに、口内炎ができることがあります。歯周病等で歯ぐきが下がっている方は、歯を動かすことでさらに歯ぐきが下がる可能性があります。重なっていた歯がきれいに並んだことで歯ぐきと両隣の歯との間に三角形の隙間ができる可能性があります。


Oさん 20代 女性

矯正前

画像をクリックで拡大

矯正後

画像をクリックで拡大

治療の説明

上下の前歯がデコボコしているのが気になる、口が閉じづらく、結婚式までに改善したいというケースです。
 

上下のあごのスペース不足による歯並びの乱れ、上下のあごの前歯部で著しい唇側傾斜が見られました。上下4本の歯を抜き、ワイヤー全体矯正にて対応しています。

治療の期間・回数
20か月、24回
​費用
1,089,000円

リスクや副作用:歯とあごのバランスによってはご自身の歯を抜く場合があります。まれに歯の根が短くなる可能性があります。装置装着後、痛みを感じることがあります(歯が動く正常な反応なので心配ありません)。頬の粘膜・唇・舌などに、口内炎ができることがあります。歯周病等で歯ぐきが下がっている方は、歯を動かすことでさらに歯ぐきが下がる可能性があります。重なっていた歯がきれいに並んだことで歯ぐきと両隣の歯との間に三角形の隙間ができる可能性があります。

※金額は税込み表記です。

パソコン|モバイル
ページトップに戻る