出っ歯(上顎前突)

出っ歯(上顎前突)とは

一般的に知られている出っ歯は、「上顎前突(じょうがくぜんとつ)」という上の歯が出ている歯並びを指します。

上顎前突になる主な原因として考えられるのは、あごと歯のサイズのバランスの悪さ、上下のあごの大きさのアンバランス、舌に悪い癖があるなどです。

上顎前突の問題は、食べ物が咬みにくい、発音しにくい以外に「口が閉じにくい」点にもあります。口が閉じにくいと口呼吸が増え、ドライマウスやむし歯、歯周病のリスクが高まります。さらに、見た目のコンプレックスにつながってしまう恐れもあるでしょう。

上顎前突の特徴

上顎前突の方の歯や歯並びには、次のような特徴が見られます。

  • 上の前歯が過度に前へ出ていて、口が閉じにくい
  • 笑った時に前歯や歯ぐきが見えやすい
  • 気づくと口が開いている

症例紹介

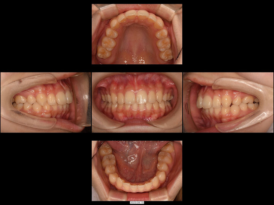
Sさん 20代 女性

矯正前

画像をクリックで拡大

矯正後

画像をクリックで拡大

上の前歯が飛び出ているのが気になる、口を閉じづらい、というケースです。

機能的な咬み合わせを回復させ、審美的に前歯を並べるため、上下4本の歯を抜歯した上でワイヤー全体矯正を用いて対応しました。歯科矯正用アンカースクリューを口蓋(こうがい:口の中の上側)に埋め込む治療計画もありましたが、ご本人の希望もあり、上あご用の蓋加強固定装置(がいかきょうこていそうち)を併用することで対応しています。しっかり上あごの前歯が後ろに引っ込んだこともあり、術前と術後の口元の印象がハッキリと変化しました。歯並びだけでなく横顔のバランスの改善にも成功したと言えます。

治療の期間・回数
20か月、28回
​費用
1,111,000円

リスクや副作用:歯とあごのバランスによってはご自身の歯を抜く場合があります。まれに歯の根が短くなる可能性があります。装置装着後、痛みを感じることがあります(歯が動く正常な反応なので心配ありません)。頬の粘膜・唇・舌などに、口内炎ができることがあります。歯周病等で歯ぐきが下がっている方は、歯を動かすことでさらに歯ぐきが下がる可能性があります。重なっていた歯がきれいに並んだことで歯ぐきと両隣の歯との間に三角形の隙間ができる可能性があります。


Nさん 20代 女性

矯正前

画像をクリックで拡大

矯正後

画像をクリックで拡大

上の前歯が飛び出ているのが気になる、口を閉じづらい、写真の時にいつも歯が出ているので笑えない、とのお悩みでした。

上下のあごのズレは大きくなかったため、上あごの両側にある4本の歯を抜き、ワイヤー全体矯正で対応しました。前歯の印象を大きく変えることに成功しています。

治療の期間・回数
21か月、26回
​費用
990,000円

リスクや副作用:歯とあごのバランスによってはご自身の歯を抜く場合があります。まれに歯の根が短くなる可能性があります。装置装着後、痛みを感じることがあります(歯が動く正常な反応なので心配ありません)。頬の粘膜・唇・舌などに、口内炎ができることがあります。歯周病等で歯ぐきが下がっている方は、歯を動かすことでさらに歯ぐきが下がる可能性があります。重なっていた歯がきれいに並んだことで歯ぐきと両隣の歯との間に三角形の隙間ができる可能性があります。


Hさん 20代 女性

矯正前

画像をクリックで拡大

矯正後

画像をクリックで拡大

上の前歯が飛び出ているのが気になる、口を閉じづらい、口元の印象を変えたいというケースです。

上下のあごの前後的なズレが大きく、下あごの大きさ自体も小さいため、本来であれば外科的矯正も選択肢の一つでした。しかしご本人の希望により、口蓋に矯正用アンカースクリューを埋め込んで矯正治療を行ったことで、上あごの前側にある歯をしっかり後ろに引っ込めることに成功しています。

治療の期間・回数
30か月、33回
​費用
1,265,000円

リスクや副作用:歯とあごのバランスによってはご自身の歯を抜く場合があります。まれに歯の根が短くなる可能性があります。装置装着後、痛みを感じることがあります(歯が動く正常な反応なので心配ありません)。頬の粘膜・唇・舌などに、口内炎ができることがあります。歯周病等で歯ぐきが下がっている方は、歯を動かすことでさらに歯ぐきが下がる可能性があります。重なっていた歯がきれいに並んだことで歯ぐきと両隣の歯との間に三角形の隙間ができる可能性があります。

※金額は税込み表記です。

パソコン|モバイル
ページトップに戻る