当院の矯正歯科治療の特徴

※自費診療です

矯正分野の歯科医師が治療を担当

矯正に対する知識や経験が少ない歯科医師は、場合によっては治療の進め方を適切に判断できません。その場合、当初の予定よりも治療期間が延びてしまい、いつまでも矯正を終えられないなどのトラブルに発展してしまう恐れがあります。

知識や経験がきちんと伴っている歯科医師のもとで矯正を受けるほうが、患者さんはより多くのメリットを得られるのです。

当院は鶴見大学歯学部歯科矯正学講座の准教授である菅崎 弘幸歯科医師を筆頭に、大学病院の矯正歯科・咬合機能矯正学分野などから矯正担当医を招へいしています。女性歯科医師も在籍しており、どの歯科医師も矯正治療を専門とするプロフェッショナルです。その知識と技術は、患者さんの信頼に値するものと私たちは自負しています。

みなさんに安心して治療を受けていただきたいという考えから、このように十分な知識と技術、実績を持つ歯科医師が臨機応変に対応しています。ぜひ一緒にキレイな歯並びをめざしませんか?

詳細な検査・分析のもと治療計画を作成

より正確に診断した上で治療方針を決定するために、当院では治療前の精密検査と、検査結果の分析にこだわっています。

精密検査で実施するのは、歯の模型の作成やお口の中とお顔の写真撮影などです。さらに、お口のレントゲン撮影、頭とお顔全体の骨格を確認できるセファロ(頭部X線規格写真)撮影も行い、必要に応じて歯科用CT撮影も追加します。

お顔の骨格を調べるセファロ(頭部X線規格写真)は、一般の歯科医院にはなかなか置かれていない特別なレントゲン撮影装置であり、矯正治療に不可欠な設備です。とはいえ、セファロ(頭部X線規格写真)を使用せずに、マウスピース型矯正装置を使った矯正治療を行っている歯医者は少なくないのが実情です。

確かに、セファロ(頭部X線規格写真)撮影なしでも矯正治療自体は可能でしょう。しかし、この検査を行わないと治療の質が大幅に低下しやすく、以下のようなトラブルが起きてしまいかねません。

  • 治療する前より歯並びが悪くなってしまう
  • 奥歯で噛めなくなってしまう
  • いつまでたっても治療が終わらない

こうしたトラブルを防ぐべくセファロ(頭部X線規格写真)を導入し、より高精度な診断のための頭部X線規格写真を撮っています。そして検査結果をもとに、精密な分析が可能なソフトウェアを使って、矯正分野の歯科医師が歯並びや咬み合わせ、骨格の状態を詳しく調査・診断します。

私たちがご提供する矯正治療は、単に見た目だけを重視して歯並びを整える治療ではありません。骨格から診断して治療計画を立てることで成功率を高め、正しい咬み合わせに導いていきます。

お子さんの検査の場合

お子さんの矯正の場合、上記の検査に加えて「手根骨(しゅこんこつ)のレントゲン撮影」を行います。手根骨とは、手首から指先までのいわゆる「手の骨」のことです。

「歯の治療なのに、なぜ手の骨の写真が必要なの?」と不思議に思う方もいらっしゃるかもしれません。実はこの手根骨を詳しく調べると、骨年齢、つまり骨の年齢を割り出せるのです。

骨年齢は、さまざまな要因から暦年齢(実際の年齢)とズレが生じる場合があります。そのため骨年齢と暦年齢を比べれば、体の成長の度合いを導き出すことが可能です。

お子さんの成長の状況は、一人ひとり異なります。ある時急に背が伸びることもあれば、しばらく停滞期間が訪れることも珍しくありません。そして、体の成長に合わせて下あごの骨も変化しますので、その子の成長具合の把握が重要です。私たちは手根骨のレントゲン検査の結果も踏まえ、一人ひとりにとって、より適切な治療計画を検討します。

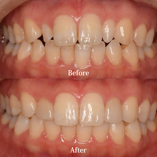
子どももおとなも、従来の方法より目立たない矯正治療が可能

当院では、子どもからおとなまであらゆる年代の矯正治療をご提供しています。

従来の矯正法に比べて目立たない装置を使う治療に対応していますので、周囲に矯正中だと気づかれたくないという方も気軽に治療を始めていただきやすいのではないでしょうか。

子どもの矯正

マウスピース型矯正装置の「T4Kトレーナー」といった筋機能矯正装置を使用し、お子さんの歯並びを悪くする原因の改善に努めています。歯並びを悪化させる主な原因は、以下の通りです。

  • お口での呼吸(口呼吸)
  • 舌の悪い癖や位置
  • ゴクンと飲み込む時の悪い癖
  • 姿勢

お子さんのあごの正常な発育・成長を促しながら悪い癖や原因を取り除き、しかるべき咬み合わせとキレイな歯並びに整えます。治療は5~8歳頃から始めるのがおすすめです。

おとなの矯正

矯正治療と聞いて、歯に金属製の装置をつけた子どもをイメージする方も多いでしょう。一般的に「矯正は子どものためのもの」という印象が強いかもしれませんが、矯正はおとなの方のための治療でもあります。

最近は「歯並びにコンプレックスがある」「多くの人と会う仕事をしている」などの理由で、成人後に矯正を始める患者さんが増えています。

装置が目立たないか心配な場合は、金属の装置を使った矯正法に比べて目立たないマウスピース型矯正装置を使った治療が可能です。マウスピースは透明で、自分で取り外しもできます。

また、一般的なワイヤー矯正において、当院では金属製のブラケット(歯の表面に取りつける装置)ではなく「クリアブラケット」という透明な装置を使用しています。さらに白い「ホワイトワイヤー」を併用すれば、なお一段と装置が気になりにくくなるでしょう。

歯並びの矯正は、子どもはもちろん、おとなになってからでも決して遅くはありません。ぜひ当院で気軽に矯正を始めてみませんか?

できるだけ歯を抜かない矯正治療を実施

通常の矯正治療では、歯をキレイに並べるスペースを確保するために抜歯するケースがあります。しかし抜歯には痛みが伴う上、健康な歯を抜くことに対して抵抗を感じる方も多いでしょう。

患者さんが生涯健康に過ごせるような治療をご提案したい。そんな考えのもと、私たちは患者さんの将来の健康面に配慮し、非抜歯による矯正治療、または最小限の抜歯で済む治療を行っています。

歯科矯正用アンカースクリューを使った治療法

通常の矯正方法では、歯を後方に動かすことが困難です。そのため歯並びを整えるには、抜歯して空間を開ける必要があります。

当院では、できる限り歯を抜かずに済む方法として、歯科矯正用アンカースクリューを用いた矯正治療を行っています。これは、歯科矯正用アンカースクリューという小さなスクリュー(ねじ)を歯ぐきの骨に埋め込み、それを固定源として歯を移動させる方法です。従来の矯正法に比べて歯を後ろに動かしやすくなり、非抜歯でスペースを確保できる可能性が高まります。

患者さんの生まれ持った大切な歯をできる限り残し、健康的なお口を保つお手伝いをしたいと私たちは願っています。「矯正を検討しているけれど、歯を抜くのは…」と躊躇している方は、ぜひ一度ご相談ください。

※歯並びの状態によっては、どうしても抜歯を避けられないケースも存在します。あらかじめご了承ください。

子どもの矯正治療は成長を利用

子どもの場合、あごの骨の成長が不十分ですべての歯がキレイに並ぶ空間がない状態となったときに、抜歯が必要になります。

しかし適切なタイミングで治療を開始すれば、成長する力を利用してあごの骨をしっかり広げてスペースをつくることが可能です。

時期を逃さなければ、歯を抜かずに歯並びを整えられる確率が高まります。大切な歯を残せる矯正治療は、お子さんご自身にとっても親御さんにとっても、多くのメリットをもたらすでしょう。

これまでの治療に比べて、期間を短縮できる矯正法を導入

矯正治療のイメージとして、「治療期間が長い」「通院回数が多い」とお考えの方は多いのではないでしょうか。そのためお仕事などで忙しく、通院の手間がネックになって矯正になかなか踏み出せないという方もいらっしゃるかと思います。

正確な治療期間は患者さんの歯の状態によって変わりますが、ワイヤーを使った矯正の場合、治療完了までにだいたい2~3年かかります。確かにこの時間は決して短いとは言えません。

さらに、治療中は3~4週間に一度のペースで通院が必要です。これは歯の動き方や動く速度に応じて矯正装置を調節したり、装置に使用しているゴム部分を交換したりしなければならないためです。

以上を踏まえ、私たちは患者さんの手間に配慮した矯正治療をめざし、治療期間の短縮または通院回数の減少に努めています。具体的には、以下のような矯正法を取り入れて治療を進めていますので、ぜひご覧ください。

歯科矯正用アンカースクリューを併用

矯正治療で歯を動かす方法は、歯と歯をお互いに引っ張り合ったり、押し合ったりしながら移動させるという仕組みです。

当院では、小さな歯科矯正用のアンカースクリューを歯ぐきに埋め込み固定し、それを起点として目標の歯だけに力をかける治療を行っています。この治療法は効率的に歯を動かしやすくなり、従来の方法に比べて治療期間の短縮が図れます。

ローフリクションシステム矯正装置

「ローフリクションシステム」とは、歯に装着するブラケットという装置とワイヤーの摩擦を、従来の治療法よりも弱める方法です。

矯正装置は、基本的にブラケットとワイヤーが固定されています。しかしローフリクションシステムでは、これを固定しません。したがって歯が動くときにブラケットとワイヤーの間の摩擦抵抗が減り、歯の移動がスムーズになります。それに伴い、これまでの装置を使った方法よりも、治療期間の短縮が可能です。

私たちはこのローフリクションシステムと従来の矯正装置を必要に応じて使い分け、治療を進めています。

※通院期間と頻度は、歯の移動によって多少の差が生じます。

お口の健康と美容の両面をサポート

矯正専門の歯医者で治療を受ける場合、むし歯などの一般歯科治療は別の歯医者で受けなければならない可能性があります。

矯正歯科に加えて一般歯科も受診する必要性が出てしまうため、2か所に通院する中で、うまく受診のタイミングを合わせられないこともしばしば。その結果、治療期間が延びたり通院のストレスを感じたりするケースもあるでしょう。

その点、当院は一般歯科にも対応していますので、矯正の前後や矯正中に、下記のような治療が必要になった場合もすべて同じ医院で実施可能です。

  • 便宜抜歯
    (矯正において、全体の咬み合わせや歯並びの改善を目的に健康な歯を抜く処置)
  • むし歯や歯の神経の治療
  • 歯周病治療
  • 歯のクリーニング
  • ホワイトニング
  • つめものやかぶせ物の治療

仮に矯正治療と一般歯科治療をそれぞれ別の歯医者で受けていた場合、一般歯科の受診の際は患者さんご自身から矯正のことを詳しく伝える必要があります。さらにその中で「そもそも矯正中は治療できない」と断られてしまうリスクもゼロではありません。

しかし当院ならば、矯正の状況も理解した上で治療中の歯の痛みなどに迅速に対応できますので、ご安心いただけることと思います。一般的な歯科治療から治療後のメインテナンスまで、お口の健康のためのトータルサポートを受けられるのが私たちの強みです。

歯並びの矯正と並行して、ホワイトニングやセラミック治療といった審美・美容面にも配慮した治療も可能です。ぜひ一緒に、よりキレイな口元をめざしましょう!

ホワイトニングで白い歯もめざせる

歯並びが美しく整い、さらに歯が白く輝いて見える口元は、その人自身をより魅力的に演出します。だからこそ近年は、口元の美容への注目度が高まっています。

当院では矯正治療と並行してホワイトニングも実施が可能です。その治療内容は、矯正治療で使用するマウスピースを活用してホームホワイトニングを行うという方法です。

すでにお持ちのマウスピースを使っていただくため、ホワイトニングにかかる費用は薬剤代のみ。キレイな歯並びと同時に、輝く白い歯をめざしたい方におすすめです。

矯正治療と並行してセラミック治療も可能

歯並びがキレイになると他の箇所も気になり始め、口元の美しさをもっと追求したいとお考えになる患者さんは少なくありません。

そこで、矯正治療と並行してセラミック治療を行う方法にも対応しています。歯の色や形、つめもの・かぶせ物の見た目が気になっている方や、矯正治療後にもっとキレイな口元をめざしたい方は気軽にご相談ください。

パソコン|モバイル
ページトップに戻る