子どもの前歯が生えてこない

子どもの前歯が生えてこない場合の対応

お子さんの前歯や乳歯が抜けたけれど、おとなの歯が生えてこないと心配される親御さんは多くいらっしゃいます。歯医者に行ったものの、様子を見るようにいわれたという話もたびたび耳にします。

一番問題なのは、歯科医院できちんと検査が行われず「様子を見よう」と言うだけで放置してしまうケースです。一般的に、乳歯が抜けてからおとなの歯が生えてくるまでに半年以上かかるときは、何らかの問題がある場合がほとんどです。

お口の問題をそのままにしてしまわないよう、当院では「セファロ(頭部X線規格写真)」と呼ばれる矯正用レントゲンや歯科用CTを使った検査を行い、問題点をしっかり精査・診断します。そして以下のような内容を歯科医師の口からきちんとご説明いたします。

  • いつまで様子を見るべきか
  • 様子見する場合、どのような状態になったら治療を始めるか
  • 治療する場合の具体的な対応
  • 経過観察をするリスク

詳しい検査を経て、より適切な対応をご提案します。お子さんの前歯がなかなか生えてこなくて心配な親御さんは気軽にご相談ください。

症例紹介

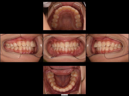
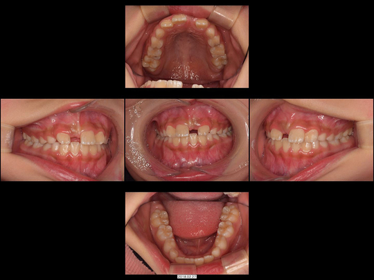
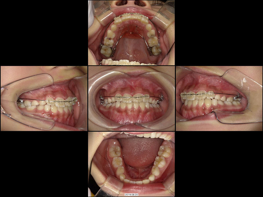
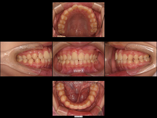
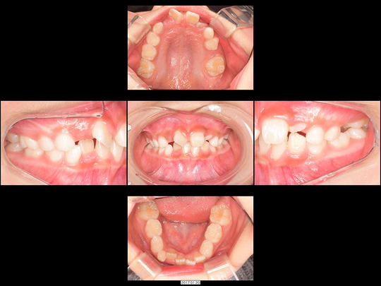
Wさん 開始時8歳 女性

矯正前

画像をクリックで拡大

矯正治療中

画像をクリックで拡大

矯正後

画像をクリックで拡大

治療の説明

前歯がねじれているのを改善したいというご希望でした。「抜歯するしかない」と診断されるような状態です。
 

固定式の拡大装置を用いて前歯と奥歯の永久歯が生え変わるスペースを作り、正しい歯並びと咬み合わせに誘導(咬合誘導)しました。非抜歯・ワイヤー矯正なしで終了できています。

治療の期間・回数
36か月、36回
​費用
462,000円

リスクや副作用:装置に慣れるまでに1週間ほどかかる可能性があります。歯列を広げる過程で少し痛みを感じる可能性があります。装着時に多少しゃべりづらくなる可能性があります(2~3週間ほどで慣れます)。


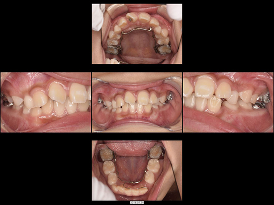
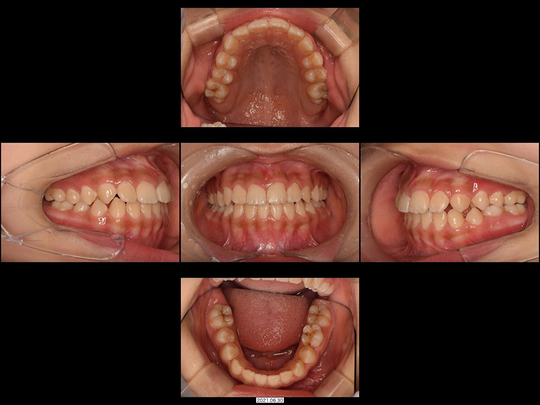
Sさん 初診時9歳 女性

矯正前

画像をクリックで拡大

矯正治療中

画像をクリックで拡大

矯正後

画像をクリックで拡大

治療の説明

上の前歯2本が生えてこないのを心配しておられたのに、「様子見しましょう」とずっと言われ続けてお困りでした。中には「大学病院でしか対応できません」と言われたこともあったようです。
 

CT検査の結果、歯が歯ぐきの中に埋まった埋伏(まいふく)といわれる状態でした。歯ぐきだけでなくあごの骨まで歯に被さっていたため、埋伏している前歯の表面を傷つけずにあごの骨まで削り、引っ張り出すための外科処置(外科的開窓牽引による矯正)を行いました。奥歯の乳歯から永久歯への生え変わりのスペースもないので、あわせてあごの骨も拡大しています。

治療の期間・回数
40か月、40回
​費用
541,000円

リスクや副作用:出血を伴う可能性があります。治療後に、痛みや腫れ、出血を引き起こす可能性があります。
装置に慣れるまでに1週間ほどかかる可能性があります。歯列を広げる過程で少し痛みを感じる可能性があります。装着時に多少しゃべりづらくなる可能性があります(2~3週間ほどで慣れます)。


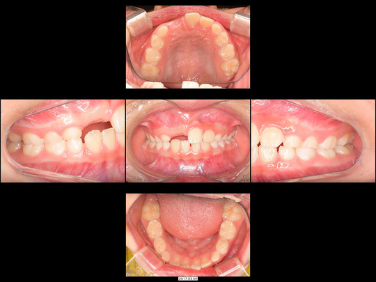
Yさん 9歳 男性

矯正前

矯正治療中

矯正後

治療の説明

前歯が生えてこないことをご不安に思われていたものの、「様子見しましょう」と言われ続けたとのことです。
 

CT検査の結果、埋伏している前歯に「過剰歯(かじょうし)」とよばれる余分な歯があり、本来の歯に引っかかっている状況でした。過剰歯を抜歯した後、事前に準備したお口の中に装着済みのワイヤー矯正装置で牽引を開始。奥歯の乳歯から永久歯の生え変わりのスペースもないので、併せてあごの骨も拡大しました。

治療の期間・回数
36か月、36回
​費用
618,000円

リスクや副作用:出血を伴う可能性があります。治療後に、痛みや腫れ、出血を引き起こす可能性があります。
装置に慣れるまでに1週間ほどかかる可能性があります。歯列を広げる過程で少し痛みを感じる可能性があります。装着時に多少しゃべりづらくなる可能性があります(2~3週間ほどで慣れます)。

※金額は税込み表記です。

パソコン|モバイル
ページトップに戻る