再矯正

矯正治療後の「後戻り」とは?

矯正治療によってきれいになった歯並びが、もとの状態に近い状態に戻ってしまう現象を「後戻り」といいます。

治療が終わって装置を外した直後は、歯の周囲の骨が安定していないため、歯がとても動きやすくなっています。したがって、その状態で放置してしまうと、治療前の歯並びの位置に戻ろうとしてしまうのです。

後戻りが心配ならば、見た目だけでなく咬み合わせの検査・診断・治療までしっかりを行っている歯医者を選びましょう。いざ矯正治療を始める前に、よくご検討ください。

後戻りしやすいのはどんな人?

矯正治療の後は「リテーナー」という保定装置を装着します。リテーナーは、治療と同じ期間つけなければなりません。矯正に2年かかった患者さんは、リテーナーの装着期間も理論上は2年間必要です。

保定期間中に自己判断で日中外している時間が多かったり、就寝時の装着を怠ったりすると、それが後戻りの原因になり得ます。また、部分矯正などの治療計画の見通しがそもそも甘いケースにおいても、早期の後戻りが見られます。

ほかにも後戻りを誘発しやすい癖や状態があり、その一つは「舌を前に出す癖」です。この癖があると歯が動きやすく、歯と歯の間に隙間ができる恐れがあります。加えて横向きになっている親知らずも、前歯に圧力をかけ、結果的に歯並びがガタガタになってしまいます。

上記に述べた癖・歯の状態がある方は、後戻り防止のためにも担当の歯科医師としっかりお話しください。

後戻り後の再矯正をご検討中の方へ

矯正後に後戻りをしてしまい再矯正を検討されている場合は、費用が高額にならないか、治療が長くならないかなどの不安があるかもしれません。

当院では、後戻り後の再矯正について短期間かつリーズナブルに行えます。

後戻りした歯の再矯正も少ないご負担で

後戻した歯の再矯正をご希望の患者さんのために、一般的な価格よりもリーズナブルに矯正治療をご提供しています。

咬み合わせに問題がなく、部分矯正で対応可能であれば396,000円~550,000円(360,000円~500,000円 税別)で治療が可能です。

 
再矯正の期間は?

部分矯正やマウスピース型矯正装置を用いた治療で対応できる症例は、数か月~1年程度で矯正が完了するケースもあります。また後戻り後の再矯正は、以前の矯正治療よりも短期間で終わることも多いので、後戻りが気になっている方は気軽にご相談ください。

症例紹介

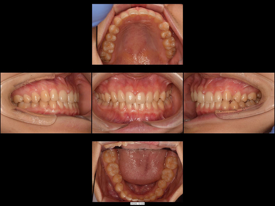
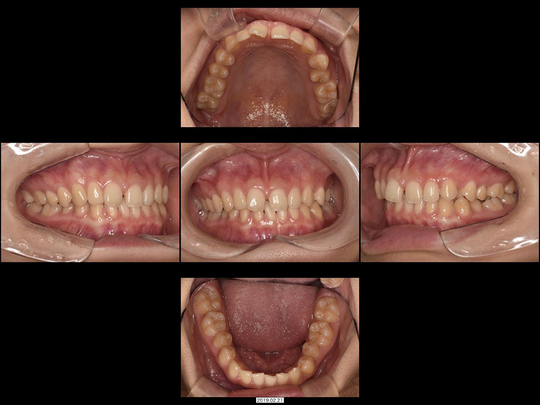
Aさん 20代 女性

矯正前

矯正後

治療の説明
非抜歯にて、前歯だけの部分的なワイヤー矯正をしました。
治療の期間・回数
6か月、10回
​費用
418,000円

Iさん 30代 女性

矯正前

画像をクリックで拡大

矯正後

画像をクリックで拡大

治療の説明
非抜歯で前歯だけ、マウスピース型矯正装置を使った矯正治療にて部分矯正しました。
治療の期間・回数
8か月、6回
​費用
378,400円

治療名:部分矯正
治療の説明:主に前歯など気になる部分のみに矯正装置をつけて歯を並べる治療法です。
治療の期間・回数:6週間~6か月、8~18回
リスクや副作用:まれに歯の根が短くなる可能性があります。装置装着後、痛みを感じることがあります(歯が動く正常な反応なので心配ありません)。頬の粘膜・唇・舌などに、口内炎ができることがあります。歯周病等で歯ぐきが下がっている方は、歯を動かすことでさらに歯ぐきが下がる可能性があります。重なっていた歯がきれいに並んだことで歯ぐきと両隣の歯との間に三角形の隙間ができる可能性があります。
​費用:396,000~550,000円 ※自費診療となります。

治療名:矯正治療
治療の説明:歯並びと咬み合わせの改善を目的に行う歯科治療です。歯の表側に矯正装置をつけたり、マウスピース型矯正装置を使用して、歯やあごの骨に力をかけながらゆっくり動かしていきます。
治療の期間・回数:10か月~2年、12~25回
リスクや副作用:歯とあごのバランスによってはご自身の歯を抜く場合があります。まれに歯の根が短くなる可能性があります。装置装着後、痛みを感じることがあります(歯が動く正常な反応なので心配ありません)。頬の粘膜・唇・舌などに、口内炎ができることがあります。歯周病等で歯ぐきが下がっている方は、歯を動かすことでさらに歯ぐきが下がる可能性があります。重なっていた歯がきれいに並んだことで歯ぐきと両隣の歯との間に三角形の隙間ができる可能性があります。
​費用:396,000~1,200,000円 ※自費診療となります。

※金額は税込み表記です。

パソコン|モバイル
ページトップに戻る