40代からの矯正

つめもの・かぶせ物がある人は
矯正治療でリスク回避を

つめものやかぶせ物が多い40代以降の患者さんの中には、歯並びの悪い方も多く見かけます。その理由は、歯並びを整えず歯を削ってつめる治療を行っただけで、歯の磨きやすさなどまでは改善されていないからです。

歯ブラシが隅々まで届かず汚れがたまりやすい箇所は、むし歯や歯周病のリスクが上昇します。そして歯磨きのテクニックがレベルアップしないままだと、つめたりかぶせたりした部分も再びむし歯・歯周病になってしまうでしょう。「削ってつめたからもう大丈夫」と、安心してはいませんか?

また「治療ではなくメインテナンスのために定期的に歯医者に行っているか」も歯の健康を左右します。しばらく歯医者を受診していない場合は、同様に注意が必要です。

というのも、厚生労働省の令和4年歯科疾患実態調査によると、40代を過ぎると突然歯が悪くなってくる事実が報告されているからです。歯が悪くなるのは、運が悪いから、たまたま磨けていなかったからではなく、歯が悪くなった理由が必ずあります。その中で「歯並びの悪さ」も大きな理由の一つとなり得ますので、中高年の方こそ歯の健康を守るための対策や、必要に応じた矯正治療をおすすめします。

40代からの矯正がおすすめな理由

当院が40代からの矯正治療を推奨している理由は、以下の4つです。

むし歯や歯周病のリスクが減る

歯並びが整うとセルフケアがしやすくなり、お口の健康を保ちやすくなります。

口臭が改善される場合がある

つめものやかぶせ物の隙間に残っていた慢性的な磨き残しが改善され、口臭の原因が減る可能性があります。

肩こりや頭痛の改善

悪い歯並びがによって偏っていた咬み合わせの力を正しく分散させることで、肩こりや頭痛の原因の改善が可能です。

認知症のリスクが下がる

咬み合わせが整うと歯を失うリスクが下がり、80歳になっても20本以上自分の歯を保つという「8020運動」の達成をめざせます。またしっかり咬めるようになれば、脳の活性化も期待できます。

症例紹介

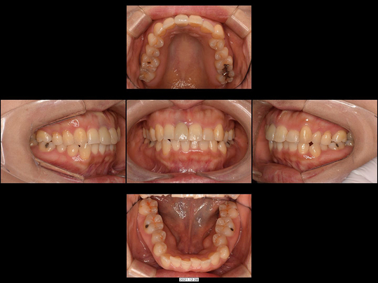
Kさん 40代 女性

矯正前

画像をクリックで拡大

矯正後

画像をクリックで拡大

治療の説明

左上の前歯1本が反対咬合になっているのが気になっておられました。改善するには、そこの歯を抜いてブリッジにするしかないという診断を受けたことがあるそうです。しかしカウンセリング時に細かくお話を伺ったところ「抜いたり削ったりしたくない、今よりも磨きやすくなりたい。右の古い前歯の色が変わっているのも気になる」とのことでした。

右上の前歯は歯ぐきの色が黒くなっていました(メタルタトゥー)ので、矯正治療前に古い金属の土台を撤去。「プロビジョナルレストレーション」とよばれる自費診療の仮歯を使用して、左側の反対咬合の歯を動かす際のスペースを確保。歯の移動中に、メタルタトゥーによる黒ずんだ歯ぐきをレーザーにて対応しました。ご了承のもと、右上前歯はセラミック治療を行っています。非抜歯、上だけの部分矯正です。

治療の期間・回数
12か月、15回
​費用
614,000円

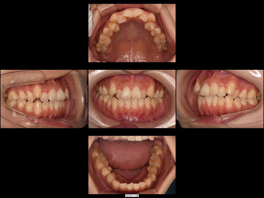
Oさん 40代 女性

矯正前

画像をクリックで拡大

矯正後

画像をクリックで拡大

治療の説明

上の前歯が磨きづらく、紹介された矯正専門医院に相談したところ、「上の前歯2番目を抜歯して3番目の歯を2番目の形にする」と言われたケースです。

精査の結果、すでに3番目の歯の歯ぐきが下がってきていることから、これを2番目の歯として使った場合、見た目が非常に不自然になる可能性および不必要に削るリスクが高すぎると判断できました。また、唇の形とそのスマイルラインを考慮した結果、通常通りの小臼歯抜歯併用の全体矯正で対応しました。

治療の期間・回数
18か月、20回
​費用
858,000円

悪い歯並びは歯の寿命を縮めてしまう

上下の歯の咬み合わせが悪いと、特定の歯に過度な負担がかかります。これを放置すると、やがて歯周組織が破壊され、歯の寿命を短くしてしまう恐れがあるといわれています。また、磨き残しの汚れは歯周病などを引き起こす要因にも。

つまり「歯並びが悪い」と「磨き残しがある」という2つの条件がそろうのは、お口にとって非常に好ましくない状態なのです。

さらに、悪い歯並びは咬み合わせに良くない影響を与え歯ぐきの炎症を起こしやすくする可能性があり、歯周病の進行を一層早めてしまう原因になりかねません。

一方、歯並びが整っていると、1本1本の歯にバランスよく力がかかり、咬み合わせの影響による歯周病の進行リスクが避けられます。また、歯磨きがしやすくなり磨き残しも少なくなります。よって、必然的に歯が長持ちするでしょう。

以上を踏まえると、歯周病をケアしながら歯を長く健康に保つには、歯並びや咬み合わせを整える矯正治療が有効と言えます。

八重歯は歯を失う可能性大…年齢を重ねる前に矯正治療を

あなたは、犬歯(けんし)が歯並びからはみ出して生えた「八重歯」があるご高齢の方を見たことがありますか?または、歯並びがガタガタなのにかぶせ物や入れ歯が一切入っておらず、全部自分の歯で過ごしている方はいかがでしょうか?

恐らくほとんどの方の答えは「NO」だと思います。実際、八重歯がある状態のままお年をとられる方は少数です。

「八重歯がある」ことは、「良い咬み合わせではない」ことと同義です。これは歯並びが悪い方にもあてはまる話ですが、若い頃に八重歯があった方は、ご高齢になると大半が奥歯を失ってしまいます。最終的には前歯だけになってしまう方や、入れ歯やインプラント、かぶせ物だらけの方が増加するでしょう。それが現実であり、八重歯の方の未来の姿です。

犬歯の本来の役割は、左右にあごをギリギリと動かした際などに、横からの力を逃がすことにあります。犬歯のみが接触し、奥歯は接触していない状態(犬歯誘導)が正常で、奥歯への負荷が軽減されるため歯も長持ちします。

しかし犬歯が八重歯でガタガタの場合、犬歯誘導がうまくできません。奥歯に対し、横に揺さぶられる力が左右から大きくかかり、それが過度な負担となってしまいます。そのような咬み合わせは、歯に亀裂が入ったり破折したり、最悪の場合は歯を失ったりする原因になります。また、咬み合わせの力をうまく分散できないために、歯が揺れたり歯周病が進行したり、顎関節症の発症などにつながる可能性もあるのです。

これらの数々のリスクを踏まえると、矯正治療で歯並びを整えるメリットは決して小さくないことがおわかりいただけるかと思います。八重歯がある方や歯並びが悪い方にとって、矯正治療は究極の予防歯科なのです。この機会にぜひ一度、矯正治療をご検討ください。

歯並びが悪い人は歯が少ない傾向に

歯並びが歯の残存数にどう影響するのか、歯の印象に及ぼす影響などについて調査したデータが存在します。これは、マウスピース型矯正装置を提供する「インビザライン・ジャパン株式会社」が60代以上の男女400名に行ったアンケートの結果です。

「歯並びが良いほうだ」と回答した人の、現在残っている歯の本数は平均21.9本でした。一方、「悪いほうだ」と回答した人の平均は19.6本。歯並びが比較的良い人は、悪い人よりも2本以上も歯が多く残っていることが判明したのです。

食事を美味しく食べられる歯の本数は20本といわれていますが、歯並びが悪い人はこのボーダーラインも下回っています。

失ってから後悔したもの、第1位は「歯」

ご高齢の方に、ご自身の体で「変化して欲しくなかったこと」「失って後悔していること」を聞いたところ、髪の毛や体型を抑えて最も多かったのは「歯」でした。その回答率は、61.3%にものぼります。

「歯」を選択した理由としては、下記のような回答が得られました。

  • 総入れ歯になってしまったから
  • 固いものが食べにくいから
  • 食べ物が美味しくないから
  • 化粧よりも歯のほうが大事だったから

歯を失ってから後悔しても、残念ながら手遅れです。そのためなるべく早く歯並びを整え、歯を失うリスクを軽減するとともに、ご自身の歯を健康に長持ちさせましょう。

40代からでも遅くはありません。将来の健康のためにも、矯正治療という選択肢を考えてみませんか。

治療名:矯正治療
治療の説明:歯並びと咬み合わせの改善を目的に行う歯科治療です。歯の表側に矯正装置をつけたり、マウスピース型矯正装置を使用して、歯やあごの骨に力をかけながらゆっくり動かしていきます。
治療の期間・回数:10か月~2年、12~25回
リスクや副作用:歯とあごのバランスによってはご自身の歯を抜く場合があります。まれに歯の根が短くなる可能性があります。装置装着後、痛みを感じることがあります(歯が動く正常な反応なので心配ありません)。頬の粘膜・唇・舌などに、口内炎ができることがあります。歯周病等で歯ぐきが下がっている方は、歯を動かすことでさらに歯ぐきが下がる可能性があります。重なっていた歯がきれいに並んだことで歯ぐきと両隣の歯との間に三角形の隙間ができる可能性があります。
​費用:396,000~1,200,000円 ※自費診療となります。

※金額は税込み表記です。

パソコン|モバイル
ページトップに戻る