難症例の矯正

矯正治療における難しい症例4つ

下記の4症例は、矯正治療の難易度が高いとされるケースです。

ケース1.歯並びだけでなく骨格にも問題がある

上下のあごの位置が前後・左右で差がある患者さんには、あごの骨切りという外科的な手術を行う場合があります。手術なしで治療するなら、あごのズレに合わせて多少カモフラージュさせる形で歯を並べる方法を採用することが多いでしょう。

こういった治療の際、あごのズレが大きいほど奥歯を動かす距離が長くなり、それだけ治療の難易度も上がります。従来からある一般的な治療法では、歯の根が太くて大きい奥歯を移動させ、あごのずれをカモフラージュするのは困難です。

ケース2.生まれつき歯の数が足りない

乳歯の下にある永久歯が生まれつき存在しない状態を「先天性欠如(せんてんせいけつじょ)」といいます。これまでに日本小児歯科学会から、5~10%の子どもに先天性欠如が見られるとの報告がありました。

先天性欠如歯(せんてんせいけつじょし)は、前から2番目もしくは5番目の歯に認められるケースが大半です。20代前後~40代頃までには、歯の根が短くなったり消失してしまったり、歯自体が割れて脱落してしまいます。

このような場合、矯正治療に介入するタイミングや、「矯正ではなくインプラントなどで対応したほうが良いか」といった判断は容易にできません。加えて先天性欠如歯の上にある乳歯に根の治療を行っているのか、先天性欠如が両方・または片方だけに見られるのかなどによっても、治療方針が大きく変わります。

その上、上下のあごの位置がずれている症例は問題が一層複雑化します。誤った判断をしてしまうと咬み合わせや見た目にも問題が生じてしまうため注意が必要です。

ケース3.出っ歯、ガミースマイル

出っ歯(上顎前突)

前歯が前方に出ている歯並び、いわゆる「出っ歯」は、特に横顔のバランスが崩れがちです。矯正治療で横顔をきれいに整えたい場合は、小臼歯(小さい奥歯)を抜いて前歯を後ろに引っ張ります。

抜歯してできるスペースは約7㎜で、通常の矯正治療ではこれ以上前歯を後方に動かすことはできません。前歯をもっと引っ込めたくても、通常の方法では限界があるのです。

また、笑った時に上の前歯の歯ぐきが4mm以上見える状態である「ガミースマイル」も難症例の一つです。中でも、咬み合わせが深い過蓋咬合(かがいこうごう)や上の前歯が前に出ているケースにおいて、前歯と一緒に歯ぐきを引っ込めるのは通常の矯正治療では困難とされています。

ケース4.埋まっている歯がある

歯ぐきの中に埋まったままの状態にある歯を「埋伏歯(まいふくし)」と言います。埋伏歯を抜歯せずに、矯正治療で歯ぐきの中から引っ張り出し、並べる処置も高度な技術が求められます。

歯ぐきだけでなくあごの骨まで歯が被さっている場合は、埋伏歯の表面を傷つけずにあごの骨まで削り、引っ張り出す外科処置が必要です。外科処置によるダメージも含め、治療の成否は施術する歯医者の腕に左右されます。だからこそ、ほとんどの矯正歯科医は対応できないといわれています。

仮に埋伏歯を引っ張り出せても安心はできません。外科処置を行った当日中に矯正装置の装着まで完了できなければ、一定の割合で「正しい位置まで出しきれない」という事態も起きるためです。特にお子さんの埋伏歯の治療で、外科処置とは別日に矯正装置をつける場合は再び麻酔処置を施すことになります。お子さんの負担が大きくなりますので、できれば避けたいのが親心でしょう。

治療の可能性を拡げる
歯科矯正用アンカースクリュー

ワイヤー矯正では通常、奥歯などの動きにくい歯を支点にして歯を動かします。対して歯科矯正用アンカースクリューを使った矯正では、直径1.3~2.0㎜のチタン製の小さなネジをあごの骨に埋め込み、そこを支点にして歯を移動させます。

これにより、従来の矯正治療では動かしにくかった方向にも歯を移動できるようになりました。前述した「矯正治療が難しい4つのケース」においても、歯科矯正用アンカースクリューの使用によって治療が可能になることは少なくありません。

治療は難しいと診断されたり手術が必要といわれたりした方、難症例のため矯正を諦めていた方なども、ぜひ一度当院へご相談ください。

また、私たちは入念な検査・診断のもと、症例や患者さんのご要望に合わせた矯正治療のご提案に努めています。主に以下のような方法で、さまざまなケースに対応しております。

矯正で前歯を引っ込めたいケース

小臼歯(小さい奥歯)を抜いて治療する際に歯科矯正用アンカースクリューを用いれば、奥歯を動かさず、より確実に前歯6本を効率良く引っ込めることが可能です。治療終了時には、横顔も口元もきれいに整うでしょう。また、症例によっては非抜歯で矯正治療を行える場合もあります。

埋まっている歯を矯正するケース

埋伏の度合いが重度な歯は、一昔前ならば抜歯の対象でした。

しかし当院には、歯科用CTの画像で歯ぐきの中の状態を確認し、埋伏歯の上のあごの骨を除去しながら歯を露出させる技術があります。そして露出させた歯に器具をつけ、適正な方向に引っ張り出す「外科的開窓牽引(げかてきかいそうけんいん)」という処置が可能です。

この処置と矯正治療を併用すれば、重度の埋伏歯であっても歯ぐきから引っ張り出し、きちんと歯を並べて整えられる確率が高まります。

開咬、ガミースマイル、過蓋咬合に対して矯正を行うケース

開咬(かいこう)

骨格的な要因による、上下の前歯が咬み合わずすき間ができる開咬(かいこう)やガミースマイルを伴う過蓋咬合の場合、歯の根の先に向かって歯と歯ぐきを3次元的に押し込む治療ができます。

この治療法により「手術を伴う方法ではなく通常の矯正治療で対応してほしい」といったご要望にお応えできるパターンが増えてきました。

外科矯正しかないといわれたケース

反対咬合

あごが前後・左右に大きくずれている顎変形症(がくへんけいしょう)は、そのほとんどが「外科矯正でしか治せない」と診断されます。顎変形症の治療には健康保険が適用されるため、患者さんにとってプラスです。しかし保険適用がゆえに、外科矯正の第一目標は「正常な咬み合わせ機能の達成」に設定されます。

つまり「正常な咬み合わせにさえなれば良い」となってしまうのです。こうした考え方から、術後に以下のような美容的なトラブルが起きても後回しにされるケースは少なくありません。

  • ガミースマイルになってしまった
  • 面長になってしまった
  • 鼻下が伸びた感じになってしまった
  • 口角が下がった感じになってしまった

上記のリスクなど必要な説明をしっかり受け、ご納得いただいてから治療を受けるのであれば問題はないでしょう。しかし、歯並びや咬み合わせを「美容的な部分も含めて改善したい」とお考えであれば、リスクも含めてよくご検討いただきたいと私たちは思っています。

例えば美容整形外科の自費診療で200万円以上かけて見た目だけを治療しても、術後の社会生活に大きな影響を与える可能性があります。一方「外科矯正をしない範囲内でなるべくきれいな歯並び・美しい口元・正しい咬み合わせを」と、無理なく理想に近づける治療を選ぶ方も大勢いるのが事実です。

さまざまな点を考慮しながら、当院は患者さんの幅広いご要望にお応えし、ご満足いただける矯正治療のご提供に努めます。

症例紹介

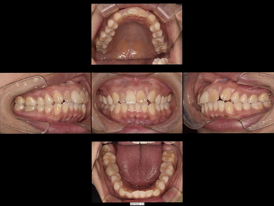
Kさん 20代前半 女性

矯正前

画像をクリックで拡大

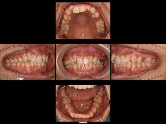
矯正後

画像をクリックで拡大

治療の説明

抜歯後、「入れ歯が嫌なら歯を削ってブリッジがインプラントにするしかない」と診断されたケースです。

精査の結果、CT画像上においても、インプラント治療は非常に困難で、ブリッジ治療を選択すると両サイドの歯の削る量が大きすぎるため、事前に神経を抜かないと対応が困難であることが判明しました。20代前半という年齢も考慮し、高齢者になってもメインテナンスしやすいのは、すべて自分の歯だけであることを考慮して、矯正治療を選択されました。表側の矯正装置にて上下の歯並び・咬み合わせを整えました。

治療の期間・回数
18か月、20回
​費用
985,600円

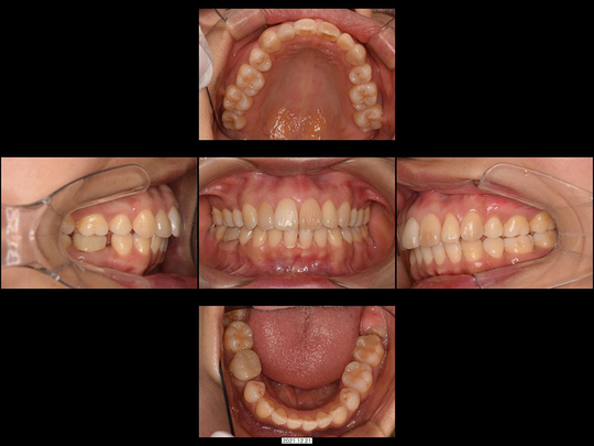
Iさん 30代 女性

矯正前

画像をクリックで拡大

矯正後

画像をクリックで拡大

治療の説明

左上2番目の前歯は生まれつきない(先天性欠如)と診断されていましたが、八重歯の隙間から歯が生えてきたため、改善したいとのご要望です。

審美的な面を優先して埋伏歯の左上2本を抜歯するのではなく、上下4番の抜歯とワイヤーによる全体矯正を併用。同時にCTを用いて、左上2番の埋伏犬歯を開窓牽引にて対応しました。また、術前のCT検査にて右上2番だけ片方が矮小歯(わいしょうし)であることが判明。左右2本の歯の大きさに著しい差が出るため、最終的に右上2番だけセラミックで修復することを想定して歯列移動をいたしました。セラミック修復前に両隣りの歯との間隔を矯正治療でより適切にスペース確保しておくことで、最終的に神経をとらずセラミック治療も行えました。

治療の期間・回数
24か月、30回
​費用
1,188,000円(セラミック治療を含む)

治療名:矯正治療
治療の説明:歯並びと咬み合わせの改善を目的に行う歯科治療です。歯の表側に矯正装置をつけたり、マウスピース型矯正装置を使用して、歯やあごの骨に力をかけながらゆっくり動かしていきます。
治療の期間・回数:10か月~2年、12~25回
リスクや副作用:歯とあごのバランスによってはご自身の歯を抜く場合があります。まれに歯の根が短くなる可能性があります。装置装着後、痛みを感じることがあります(歯が動く正常な反応なので心配ありません)。頬の粘膜・唇・舌などに、口内炎ができることがあります。歯周病等で歯ぐきが下がっている方は、歯を動かすことでさらに歯ぐきが下がる可能性があります。重なっていた歯がきれいに並んだことで歯ぐきと両隣の歯との間に三角形の隙間ができる可能性があります。
​費用:396,000~1,200,000円 ※自費診療となります。

治療名:歯科矯正用アンカースクリューを用いた矯正治療
治療の説明:歯科矯正用アンカースクリューを固定源にして、歯を移動させる方法です。治療期間の短縮や難しい症例にも対応できるといったメリットがあります。
治療の期間・回数:3か月~2年、3~5回
リスクや副作用:治療時に出血を伴う可能性があります。インプラントを埋めるための外科手術が必要になります。手術後に、痛みや腫れ、出血、合併症などを引き起こす可能性があります。お口の中が不衛生になると、インプラント周囲の歯ぐきが炎症を起こす可能性があります。あごの骨の状態によっては、埋めたインプラントが緩んだり、脱落することがあります。
​費用:110,000~220,000円 ※自費診療となります。

※金額は税込み表記です。

パソコン|モバイル
ページトップに戻る