歯の表側につける矯正装置

表側矯正とは

表側矯正とは、歯の表側(唇側:しんそく)に矯正装置をつけて歯を動かす治療法です。マルチブラケットという装置を歯の表面に接着し、金属製のワイヤーの力を利用して歯を移動させていきます。表側矯正の目的は「歯並び」と「咬み合わせ」の改善です。

数ある矯正治療の中でもスタンダードな治療法といえます。そして歯並びや咬み合わせの状態、症状の程度に関係なく、ほとんどのケースに対応できるのが特徴です。

適応できる症例が多岐にわたる点のほか、1本1本の歯に対して装置やワイヤーの力を強くかけ、効率的に歯を動かせるメリットもあります。

通常より目立ちにくい
ホワイトワイヤーを使用した矯正

ワイヤーを使用する表側矯正を行う場合、金属の装置が目立つことを気にされる患者さんは少なくありません。

この点を踏まえ、私たちは通常の矯正装置よりも審美性が高い装置を用いて表側矯正を実施しています。そのため、さほど見た目を気にせず歯並びの改善が可能です。矯正治療中である事実を周囲に知られたくないけれど、歯並びは整えたいというニーズにもしっかりお応えできます。

ホワイトワイヤー

ワイヤー矯正は、一般的に銀色の金属製ワイヤーを用います。当院ではワイヤーを白くコーティングした「ホワイトワイヤー」を使用。歯の白さに馴染みやすいため、銀色のワイヤーよりも目立ちません。

プラスチックブラケット

金属に比べてお口の中で目立たない、透明なプラスチックでつくられた矯正装置です。アレルギーの心配がない素材ですので、金属アレルギーの方にもおすすめです。

ほぼすべての症例に対応可能

「歯並びが悪い」とされる症状の中には、軽症から重症までさまざまな程度があります。

そのためスムーズに歯並びを整えるには、その症状によって矯正装置を使い分ける必要があります。例えば、マウスピース型矯正装置を使った矯正治療は、基本的に症状が軽い場合に適応される方法です。

一方、重症の治療では歯を大きく動かさなければならず、どうしても移動距離が長くなります。この場合、軽症に対してのみ適応されるマウスピース型矯正装置を使った治療だけでは対応できません。ワイヤーを用いた矯正治療でないと十分な改善が見込めないのです。

同様に、マウスピース型矯正装置を使った治療よりも、表側の矯正装置のほうが圧倒的に有効なケースは存在します。上顎前突(じょうがくぜんとつ:口ゴボ・出っ歯など)に行う、上下の小臼歯の抜歯を併用した矯正治療もそのひとつです。

しかし、自分の歯並びの症状が軽いのか重いのかを自己判断するのは難しいでしょう。重症の方がマウスピース型矯正装置を使った矯正治療しか行えない歯医者に相談してしまうと、治療を断られてしまう可能性も決して低くありません。

その点ワイヤー矯正治療も実施でき、症状の程度にかかわらず幅広い症例に対応できる実績豊富な当院ならば、安心してご来院いただけることと思います。あなたの歯並びの悪さが重度であっても軽度であっても、きれいな状態に導く治療をご提供します。

難しい症例にも対応、従来の矯正法に比べて治療期間も短くできる

歯科矯正用アンカースクリュー(インプラントアンカー)という、直径2mmほどの矯正用の小さなインプラントを使って歯を動かす治療を行っています。

これは、あごの骨に埋め込んだアンカースクリューを支点にして歯を引っ張ることで、効率的に歯を移動させる方法です。そのため、従来の矯正法に比べて矯正期間を短縮できるというメリットがあります。

できるだけ歯を抜かない矯正治療をご提案

私たちは、できるだけ歯を抜かずに矯正する「非抜歯」の治療計画を第1の選択肢として立案しています。ただし、すべてのケースで「非抜歯」の矯正治療を実施しているわけではありません。

というのも、見た目や咬み合わせ、患者さんのご希望を考慮したとき、どうしても抜歯したほうがメリットがある症例も存在するためです。抜歯が必要と判断した際には「なぜ抜歯が必要なのか」や「なぜ抜歯する歯がその部位なのか」を説明し、ご納得いただけた場合のみ抜歯を行います。

また長い目で見て、健全な歯よりも「寿命が短い歯」を優先して抜いたほうが良いケースについてもご案内しています。寿命が短い歯とは、具体的に以下のような歯です。

  • 神経のない歯
  • むし歯になっている歯
  • 根の先に膿がある歯
  • 銀歯が入っている歯 など

このような対応をとると、症例としては難易度が多少上がってしまう場合もあります。しかし当院は、メリット・デメリットも含めて抜歯の優先度をご案内し、複数のパターンの中から治療法をお選びいただいています。

なるべく抜歯しない矯正治療をご提示しつつ、抜歯が必要な際にはその理由などを詳しくお話ししますので、きちんとご納得した上で抜歯処置に臨めるのではないでしょうか。

症例紹介

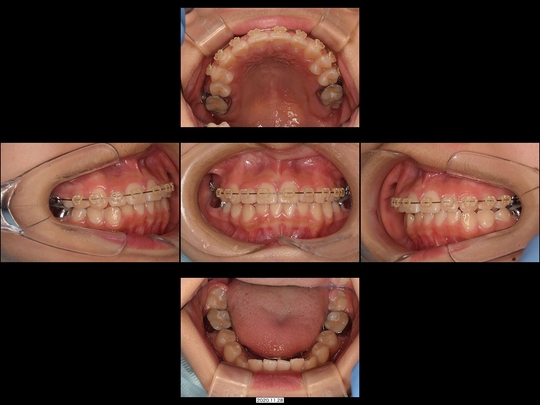
Nさん 10代 男性

矯正前

画像をクリックで拡大

矯正後

画像をクリックで拡大

治療の説明

抜歯した後「入れ歯以外なら歯を削ってブリッジかインプラントにするしかない」と診断されたケースです。

精査の結果、CT画像で見るだけでもインプラント治療は非常に困難だと分かりました。ブリッジを選択した場合は両サイドの歯の削る量が大きすぎるため、事前に神経を抜かないと対応が困難です。20代前半という年齢、高齢になってもメインテナンスしやすいのは自分の歯だけであることなどを考慮し、矯正治療を選択。表側の矯正装置にて上下の歯並び・咬み合わせを整えました。

 
治療の期間・回数
30か月、30回
​費用
990,000円

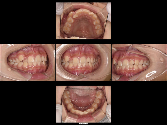
Nさん 20代 女性

矯正前

画像をクリックで拡大

矯正後

画像をクリックで拡大

治療の説明

「前歯の重なりが気になるので、部分矯正で改善したい」というケースです。またカウンセリング時に細かいお話を伺ったところ「口元の印象もスッキリさせたい」とのこと。

部分矯正では無理な治療計画となる可能性が高かったため、抜歯してスペースを確保し、表側ワイヤー矯正装置を用いて全体矯正にて対応しました。

治療の期間・回数
20か月、24回
​費用
1,007,600円

治療名:表側矯正
治療の説明:歯並びと咬み合わせの改善を目的に行う歯科治療です。歯の表側に矯正装置をつけて、歯やあごの骨に力をかけながらゆっくり動かしていきます。
治療の期間・回数:10か月~2年、12~25回
リスクや副作用:歯とあごのバランスによってはご自身の歯を抜く場合があります。まれに歯の根が短くなる可能性があります。装置装着後、痛みを感じることがあります(歯が動く正常な反応なので心配ありません)。頬の粘膜・唇・舌などに、口内炎ができることがあります。歯周病等で歯ぐきが下がっている方は、歯を動かすことでさらに歯ぐきが下がる可能性があります。重なっていた歯がきれいに並んだことで歯ぐきと両隣の歯との間に三角形の隙間ができる可能性があります。
​費用:770,000~1,200,000円 ※自費診療となります。
オプション:ホワイトワイヤーに変更(片あご)55,000円

治療名:歯科矯正用アンカースクリューを用いた矯正治療
治療の説明:歯科矯正用アンカースクリューを用いた矯正治療を固定源にして、歯を移動させる方法です。従来の矯正法に比べて治療期間の短縮や難しい症例にも対応できるといったメリットがあります。
治療の期間・回数:3か月~2年、3~5回
リスクや副作用:治療時に出血を伴う可能性があります。インプラントを埋めるための外科手術が必要になります。手術後に、痛みや腫れ、出血、合併症などを引き起こす可能性があります。お口の中が不衛生になると、インプラント周囲の歯ぐきが炎症を起こす可能性があります。あごの骨の状態によっては、埋めたインプラントが緩んだり、脱落することがあります。
​費用:110,000~220,000円 ※自費診療となります。

※金額は税込み表記です。

パソコン|モバイル
ページトップに戻る